Восстановление костной структуры зуба | Советы "Иннова Клиник"
Онлайн запись

Восстановление костной структуры зуба

Оглавление

КАЗНИТЬ НЕЛЬЗЯ ПОМИЛОВАТЬ:

восстановление костной структуры зуба.

Бывают ситуации, когда кажется, что шансов спасти зуб нет.

Но, благодаря современным технологиям и профессионализму врачей, даже в самых сложных случаях возможно восстановление.

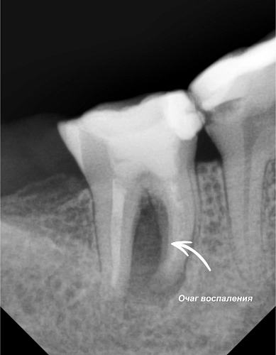
Сегодня расскажем о работе Морозовой Александры Сергеевны, которая смогла вернуть к жизни зуб, казалось бы, безнадежный. Пациент обратился к нам после консультации в другой клинике, где ему рекомендовали удалить инфицированный зуб. После тщательной диагностики по результатам компьютерной томографии, прицельным рентгенографияческим снимками и диагностическому препарированию под микроскопом, было решено зуб сохранять. Проведенное лечение корневых каналов под большим увеличением позволило тщательно и качественно очистить пораженные участки. После этого было выполнено пломбирование, и зуб был восстановлен и подготовлен под временную коронку для дальнейшего наблюдения.

Важно отметить, что при благоприятных условиях и положительной динамике состояния зуба через полгода временная коронка будет заменена на постоянную. Это еще раз подтверждает, что даже в самых трудных ситуациях всегда есть выход.

Морозова Александра Сергеевна
Морозова Александра Сергеевна

Одобрено

·

Стоматолог-эндодонтист

Записаться на прием
Просмотров: 893
Другие услуги
Консультация и диагностика
От 1000 Консультация и диагностика фото
Имплантация
От 32 500 Имплантация фото
Виниры
От 33 500 Виниры фото
Коронки
От 33 500 Коронки фото
Установка брекетов
От 45 000 Установка брекетов фото
Установка элайнеров
От 185 000 Установка элайнеров фото
Лечение зубов
От 4 000 Лечение зубов фото
Профессиональная гигиена
От 1900 Профессиональная гигиена фото