Реставрация зубов в Чебоксарах — восстановление формы и цвета за одно посещение
Онлайн запись

Реставрация зубов

  • Не «пломба», а художественная реставрация
  • Неотличима от своих зубов
  • Износостойкий материал
  • Восстановление эстетики и функции за одно посещение
  • Форма и цвет – на выбор
Перейти к ценам
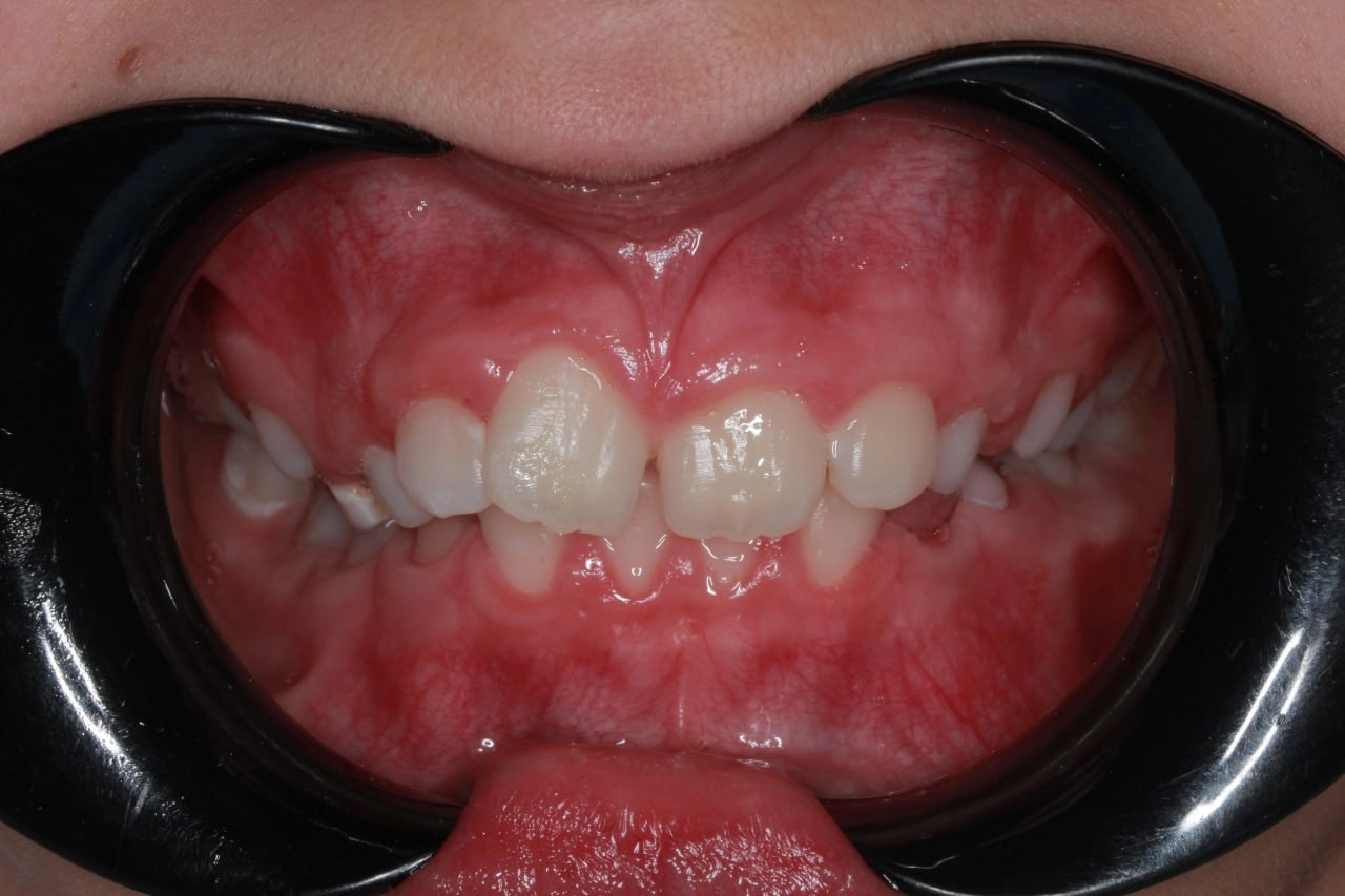
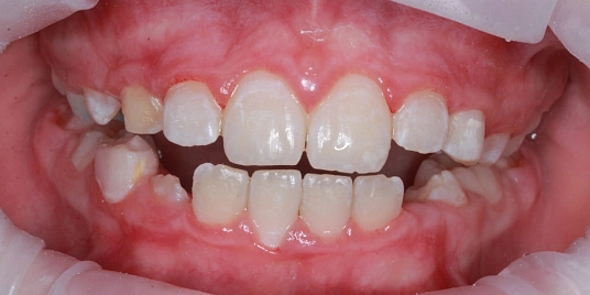
Реставрация зубов фото
Реставрация зубов – процедура, которая позволяет скорректировать цвет, форму и небольшую кривизну зубов, восстановить утраченные ткани, сколы режущего края и закрыть широкие промежутки между зубами. Выполняется в день обращения.

Сколы

Изменение цвета

Тремы, диастемы

Неровность режущего края

Флюороз, гипоплазия

Неправильное положение зуба

Трещины эмали

Некорректные реставрации

Кариозные процессы

Стираемость зубов

Акции и скидки на лечение в Иннова Клиник
Смотреть все акции
Скидка именинникам 15%

Именинникам скидка 15% в течение 14 дней после дня рождения

Подписчикам ВКонтакте


Подписчикам нашей страницы ВКонтакте скидка 3%

Скидка 20% на гигиену для пациентов

Скидка 20% на гигиену для пациентов, делающих гигиену каждые полгода и чаще

Скидка на профессиональную гигиену 10%

Скидка на профессиональную гигиену 10%

Смотреть все акции
За время работы собрали
большой архив выполненных работ
Все работы

Этапы реставрации зубов

Диагностика
Врач-стоматолог проводит осмотр полости рта, при необходимости делает рентгеновские снимки, чтобы исключить наличие скрытых кариозных или воспалительных процессов.
Планирование
Пациент и доктор подробно обсуждают желаемый результат, определяют будущие форму и цвет реставрируемых зубов. При необходимости, сканирует зубы и отправляет сканы в лабораторию для предварительной моделировки будущей формы зубов.
Реставрация
Проведение художественной реставрации зубов с применением современных композитных материалов: послойное воссоздание формы и цвета зубов. Создание микрорельефа поверхности и режущих краев зуба, тщательная полировка реставрации.
Результат
Согласование финального результата, при необходимости – коррекция реставрации. Рекомендации по уходу за полостью рта и отреставрированными зубами.
Запишитесь на первичную консультацию

Составим план лечения и подберем врача

Нажимая кнопку «Записаться», вы даете свое согласие на обработку персональных данных
alt

Стоимость

Первичная консультация врача-стоматолога
  • Консультация

    1500

    Изучения анкеты здоровья, сбор сведений о состояния здоровья. Макрофотографии и сканирование зубов для детального изучения и ознакомления пациента с ситуацией в полости рта. Составление предварительного плана лечения

  • Консультация гнатолога

    1700

    Консультация по проблемам височно-нижнечелюстного сустава



Реставрация зубов
  • Лечение

    от 6 500

  • Реставрация художественная

    от 9 500



Врачи, которые выполняют эту процедуру

Винокур Анастасия Александровна
16 лет стажа
  • 3 награды
  • 12 сертификатов

Винокур Анастасия Александровна

Стоматолог, Cтоматолог-ортопед

Романова Анастасия Александровна
7 лет стажа
  • 10 сертификатов

Романова Анастасия Александровна

Стоматолог-терапевт

Овчинникова Марина Ивановна
10 лет стажа
  • 1 награда

Овчинникова Марина Ивановна

Стоматолог-терапевт (эндодонтист)

Все врачи

Адреса клиник

Радужная
Адрес:
Чебоксары, ул. Радужная, 5
Телефон:
Время работы:

Пн-пт: 8:00-20:00
Сб-вс: 9:00-18:00

Богдана Хмельницкого
Адрес:
Чебоксары, ул. Богдана Хмельницкого, 51
Телефон:
Время работы:

Пн-пт: 8:00-20:00
Сб-вс: 9:00-18:00

Адреса клиник
Адрес:
Чебоксары, ул. Радужная, 5
Телефон:
Время работы:

Пн-пт: 8:00-20:00
Сб-вс: 9:00-18:00

Адрес:
Чебоксары, ул. Богдана Хмельницкого, 51
Телефон:
Время работы:

Пн-пт: 8:00-20:00
Сб-вс: 9:00-18:00

Ответы на часто задаваемые вопросы

Можно ли реставрировать живые зубы?
Да. Однако если зуб разрушен более чем на 30%, есть вероятность, что потребуется восстановление керамической конструкцией.
Какой специалист занимается реставрацией зубов?
В Иннова Клиник художественной реставрацией зубов занимаются врачи-стоматологи терапевтического профиля.
Как долго отреставрированные зубы сохраняют свой вид?
Средний срок составляет от 5-7 лет. Но при бережном отношении к зубам, корректном уходе и регулярном посещении профилактических осмотров такие реставрации могут прослужить гораздо дольше.
Какой уход требуется реставрациям?
Такой же, как и своим зубам: тщательная домашняя гигиена с обязательным использованием зубной нити или ирригатора, а также профессиональная гигиена и профилактический осмотр стоматолога раз в полгода.
Можно ли перекрыть щель межды зубами?
Да, художественные реставрации зубов решают проблему с широкими межзубными промежутками.
Делают ли реставрации на жевательные зубы?
Да. При этом особое внимание уделяется индивидуальному анатомическому строению зуба: восстанавливают все естественные бороздки и бугорки.
Сколько времени занимает реставрация зуба?
Художественная реставрация зуба проводится за одно посещение клиники и занимает в среднем 1-1,5 часа. Иногда может потребоваться еще один прием для коррекции и финишной полировки.

Другие услуги

Лечение зубов
От 4 000
Лечение пульпита
от 8000