Акции и скидки на лечение в Иннова Клиник
Смотреть все акцииЭтапы консультации и диагностики
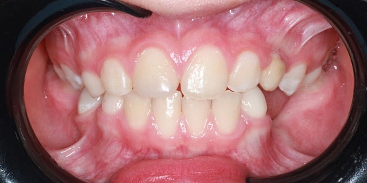
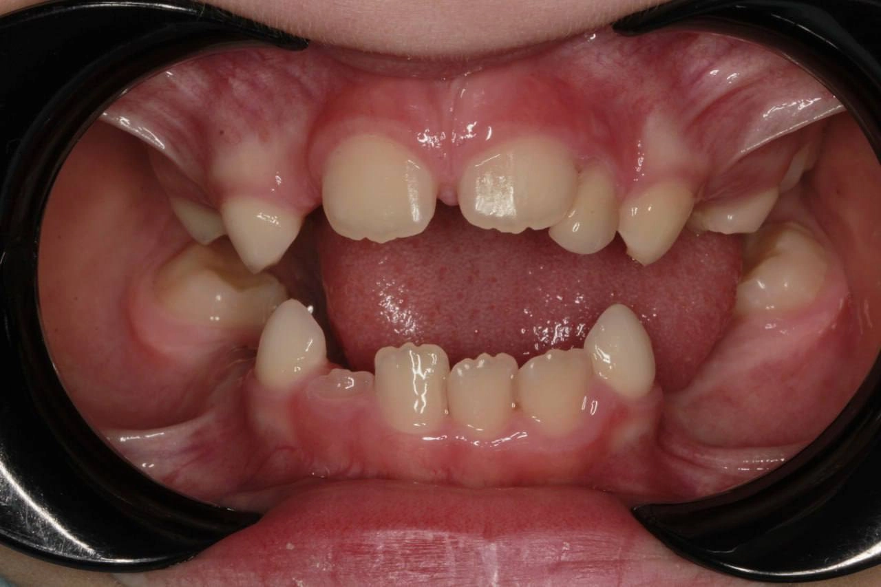
Осмотр
Исследования
Обследование в клинике
Консультация
Составление плана лечения
Составим план лечения и подберем врача

Стоимость
-
Консультация
1500 ₽
Изучения анкеты здоровья, сбор сведений о состояния здоровья. Макрофотографии и сканирование зубов для детального изучения и ознакомления пациента с ситуацией в полости рта. Составление предварительного плана лечения
-
Консультация гнатолога
1700 ₽
Консультация по проблемам височно-нижнечелюстного сустава