Сколько нужно носить брекеты? | Советы "Иннова Клиник"
Онлайн запись

Сколько нужно носить брекеты?

Сколько нужно носить брекеты?

Наверняка, многие из вас задавались этим вопросом, когда задумывались о коррекции зубов с помощью брекет-систем. Но, к сожалению, заранее точно прогнозировать сроки ношения брекетов невозможно. Каждый случай индивидуален и зависит от множества факторов, включая состояние зубов, возраст пациента и особенности прикуса.

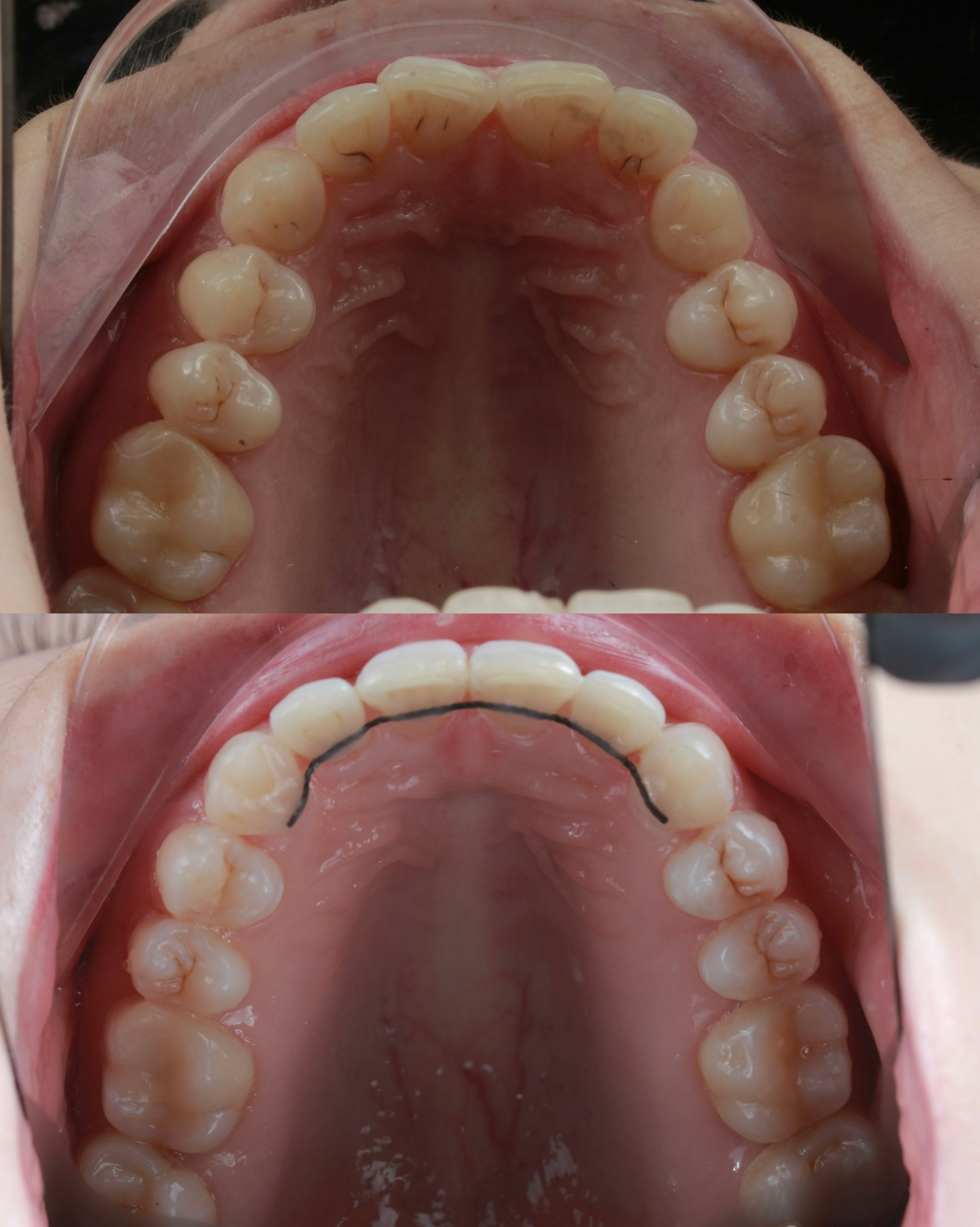
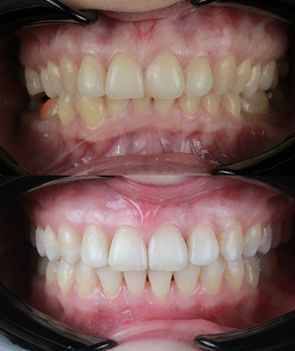
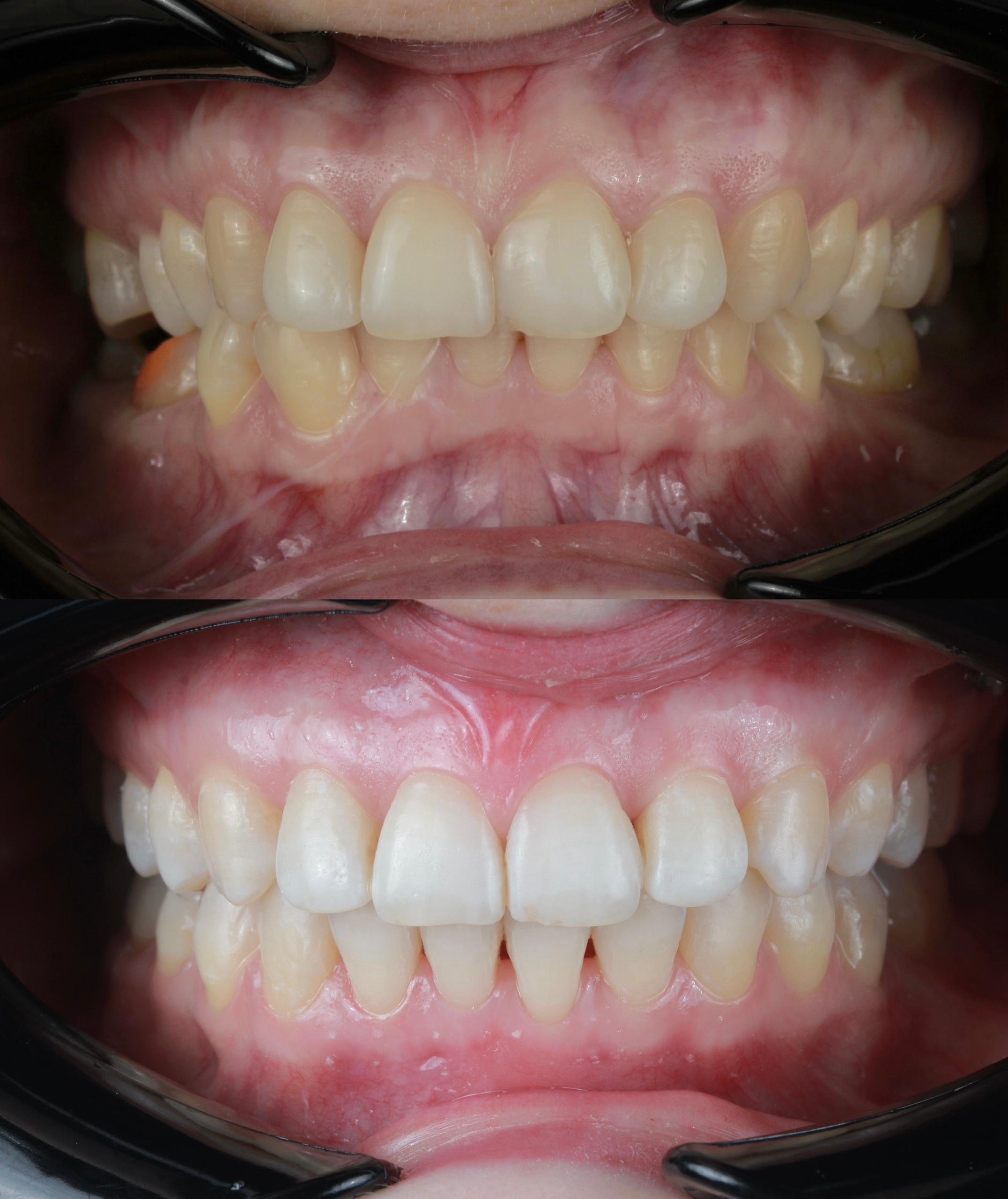
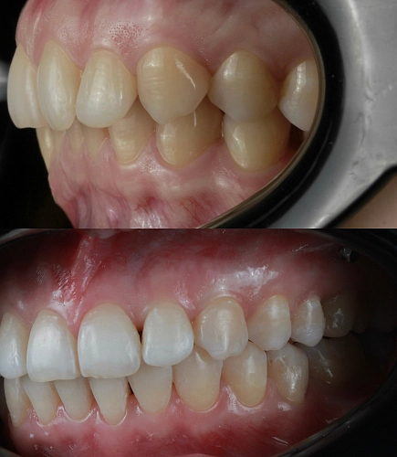
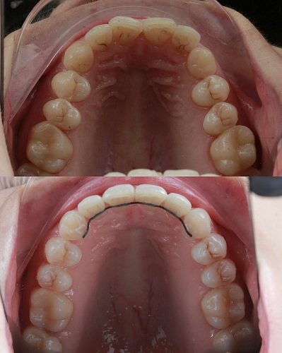
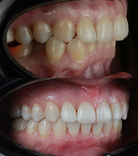
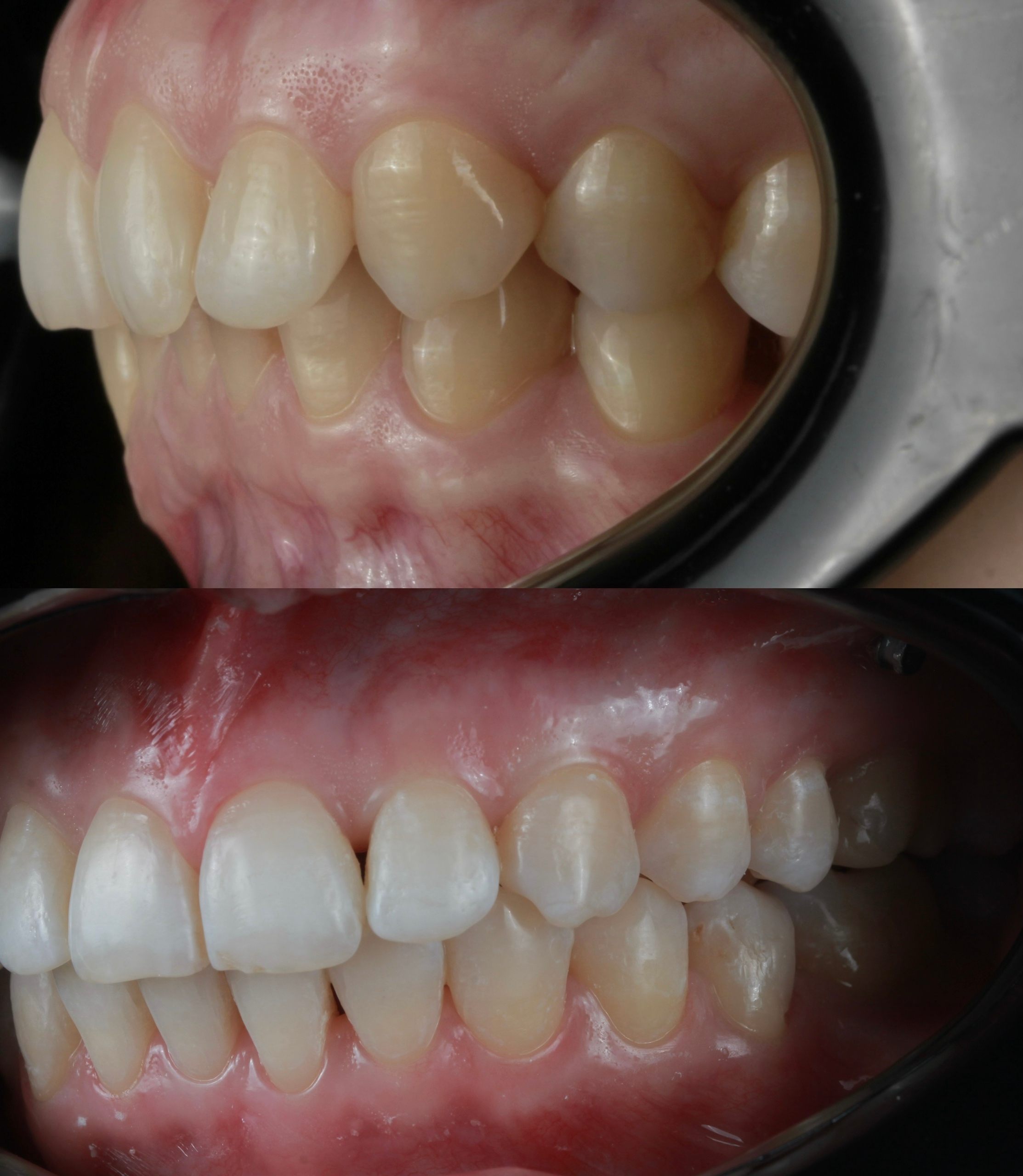
Клинический случай:

Рассмотрим пример ортодонтической коррекции на брекет-системе Damon Q. В данном случае срок лечения составил 1 год и 10 месяцев. За этот период удалось решить несколько важных задач:

• Устранение скученности зубов

• Коррекция наклона верхнего зубного ряда

• Удаление сильно разрушенного зуба на нижней челюсти и закрытие образовавшегося промежутка своими зубами

• Откорректированный прикус и центры зубных рядов

Работа была выполнена врачом-ортодонтом Глуховой Т.А., который тщательно подошел к каждому этапу лечения, чтобы достичь оптимального результата.

Бахмисова Инна Николаевна
Бахмисова Инна Николаевна

Одобрено

·

Стоматолог-ортодонт

Записаться на прием
Просмотров: 747
Другие услуги
Консультация и диагностика
От 1000 Консультация и диагностика фото
Имплантация
От 32 500 Имплантация фото
Виниры
От 33 500 Виниры фото
Коронки
От 33 500 Коронки фото
Установка брекетов
От 45 000 Установка брекетов фото
Установка элайнеров
От 185 000 Установка элайнеров фото
Лечение зубов
От 4 000 Лечение зубов фото
Профессиональная гигиена
От 1900 Профессиональная гигиена фото