Когда устанавливать имплант после удаления зуба | Советы "Иннова Клиник"
Онлайн запись

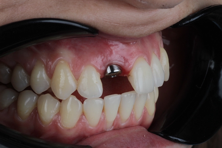
Когда устанавливать имплант после удаления зуба

Оглавление

Когда устанавливать имплант после удаления зуба

Проводить имплантацию можно:

сразу после удаления;

после заживления раны;

через длительный период времени.

Но! Принимает подобные решения врач-хирург после обследования.

️На сегодняшний день, благодаря новым методикам и материалам, установка импланта возможна даже в самых непростых случаях .

Существуют следующие сроки установки импланта:

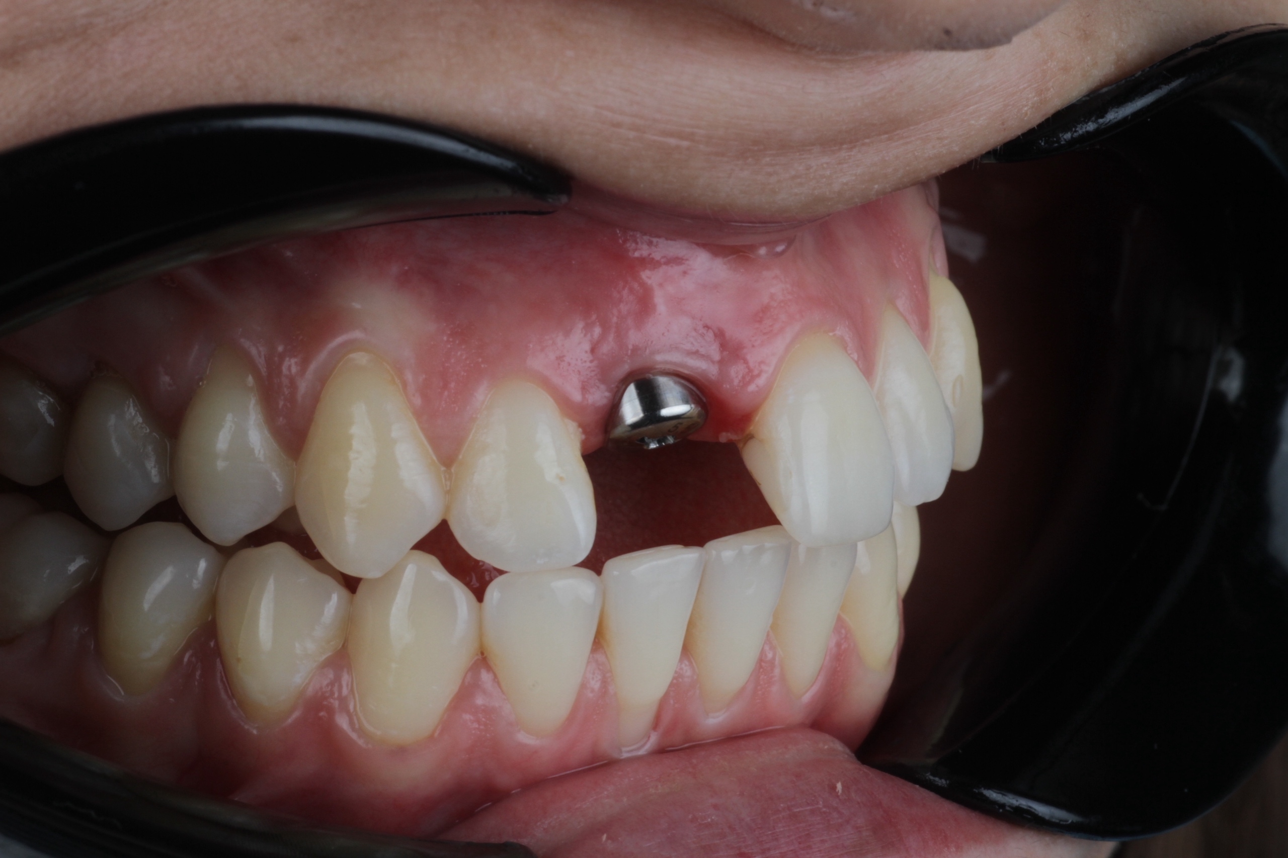
Одномоментно – имплант устанавливают сразу после удаления разрушенного корня в одно посещение;

Через 2-3 месяца – имплантацию проводят после заживления раны и восстановления костной ткани;

В отдаленный период времени – когда удаление зуба было давно.

Рекомендуемый срок установки импланта после потери зуба - 3-6 месяцев. Больший период выжидать мы не советуем, если пройдет больше времени, то могут возникнуть проблемы: атрофия костной ткани, и для того чтобы установить имплант понадобятся дополнительные процедуры (наращивание костной ткани и т.д.)

Записаться на консультацию можно по телефону +7(8352) 70-97-91 либо напишите нам

Федотов Руслан Валерьевич
Федотов Руслан Валерьевич

Одобрено

·

Стоматолог-ортопед

Записаться на прием
Просмотров: 2220
Другие услуги
Консультация и диагностика
От 1000 Консультация и диагностика фото
Имплантация
От 32 500 Имплантация фото
Виниры
От 33 500 Виниры фото
Коронки
От 33 500 Коронки фото
Установка брекетов
От 45 000 Установка брекетов фото
Установка элайнеров
От 185 000 Установка элайнеров фото
Лечение зубов
От 4 000 Лечение зубов фото
Профессиональная гигиена
От 1900 Профессиональная гигиена фото