Установка временных коронок на длительный срок | Советы "Иннова Клиник"
Онлайн запись

Установка временных коронок на длительный срок

Оглавление

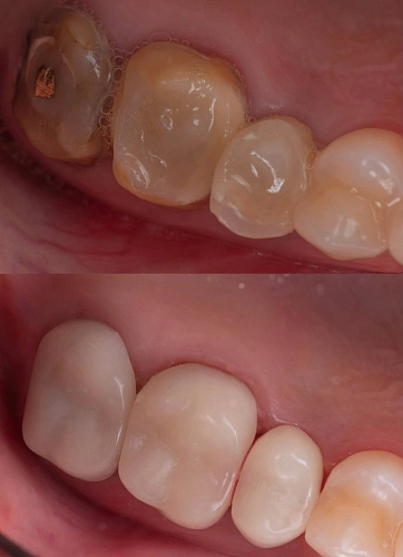
Иногда зубам требуется установка временных коронок на длительный срок, и здесь на помощь приходят 3D-коронки, которые обеспечивают надежность и комфорт.

Когда это необходимо?

1. Наблюдение за зубом: Если у стоматолога есть сомнения по поводу дальнейшего прогноза состояния зуба, временная коронка помогает защитить его и сохранить в стабильном состоянии. Это дает возможность наблюдать за изменениями и принимать обоснованные решения о дальнейшем лечении.

2. Этап ортодонтического лечения: Во время ортодонтии зубы подвергаются движению, и те из них, которые будут перемещаться, требуют дополнительной поддержки. Особенно это важно для зубов без нерва с тонкими стенками, которые могут быть более уязвимыми. Установка временных коронок помогает укрепить такие зубы, обеспечивая их долговечность и предотвращая разрушение.

Что такое 3D-коронки?

3D-печать позволяет изготавливать коронки с высокой точностью. Это значит, что каждая коронка идеально соответствует анатомическим особенностям зуба, что обеспечивает максимальный комфорт и функциональность.

Помните, что временные коронки — это не просто временное решение, а важный этап в поддержании здоровья ваших зубов.

Андреев Димитрий Петрович
Андреев Димитрий Петрович

Одобрено

·

Стоматолог-ортопед

Записаться на прием
Просмотров: 746
Другие услуги
Консультация и диагностика
От 1000 Консультация и диагностика фото
Имплантация
От 32 500 Имплантация фото
Виниры
От 33 500 Виниры фото
Коронки
От 33 500 Коронки фото
Установка брекетов
От 45 000 Установка брекетов фото
Установка элайнеров
От 185 000 Установка элайнеров фото
Лечение зубов
От 4 000 Лечение зубов фото
Профессиональная гигиена
От 1900 Профессиональная гигиена фото