Разрушительный миф о зубном камне: он не защищает, а вредит! | Советы "Иннова Клиник"
Онлайн запись

Разрушительный миф о зубном камне: он не защищает, а вредит!

Разрушительный миф о зубном камне: он не защищает, а вредит!

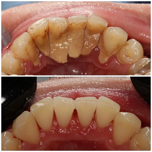
Есть мнение, что зубной камень может служить защитой от кариеса. Однако это заблуждение! На самом деле, зубной камень — это минерализованные отложения на зубах, которые могут привести к серьезным проблемам с зубами и деснами.

Вот несколько фактов о зубном камне:

1. Деминерализация зубов: Зубной камень создает идеальную среду для размножения бактерий, которые выделяют кислоты. Эти кислоты разрушают защитный слой эмали и способствуют деминерализации зубов, что делает их более уязвимыми для кариеса.

2. Воспаление десен: Накопление зубного камня может вызвать воспаление десен, что приводит к гингивиту и пародонтиту. Это не только угрожает здоровью зубов, но и может стать причиной потери зубов.

3. Эстетические проблемы: Зубной камень может вызывать изменение цвета зубов, придавая им желтоватый или коричневый оттенок, что негативно сказывается на вашей улыбке.

Как избежать образования зубного камня?

• Регулярная чистка зубов дважды в день.

• Использование зубной нити и ополаскивателей для рта.

• Профессиональная гигиена полости рта не реже двух раз в год.

Записаться на консультацию можно по телефону +7(8352) 70-97-91 или напишите нам

Степанова Татьяна Сергеевна
Степанова Татьяна Сергеевна

Одобрено

·

Гигиенист

Записаться на прием
Просмотров: 910
Другие услуги
Консультация и диагностика
От 1000 Консультация и диагностика фото
Имплантация
От 32 500 Имплантация фото
Виниры
От 33 500 Виниры фото
Коронки
От 33 500 Коронки фото
Установка брекетов
От 45 000 Установка брекетов фото
Установка элайнеров
От 185 000 Установка элайнеров фото
Лечение зубов
От 4 000 Лечение зубов фото
Профессиональная гигиена
От 1900 Профессиональная гигиена фото