Тотальная реабилитация зубов | Советы "Иннова Клиник"
Онлайн запись

Тотальная реабилитация зубов

Оглавление

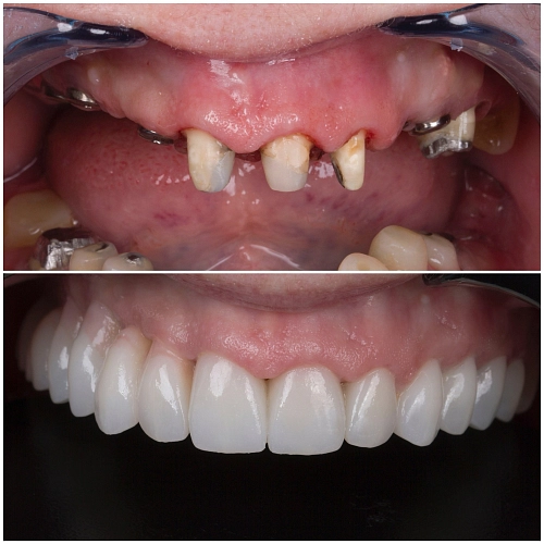
Тотальная реабилитация зубов: верни себе уверенность и здоровье!

Вы когда-нибудь задумывались о том, как важно иметь здоровую и красивую улыбку? Зубы — это не только эстетика, но и залог вашего здоровья! Если вы столкнулись с проблемами зубов, не откладывайте решение на потом. Мы предлагаем вам уникальную программу тотальной реабилитации зубов, которая изменит вашу жизнь!

Почему стоит выбрать тотальную реабилитацию?

1. Комплексный подход: Мы учитываем все аспекты — от диагностики до индивидуального плана лечения. Каждому пациенту мы подходим с максимальной внимательностью.

2. Современные технологии: Используем только самые передовые методы и материалы, чтобы гарантировать долговечность и качество результатов.

3. Профессиональная команда: Наши специалисты — это опытные врачи, которые знают, как вернуть вашим зубам здоровье и красоту.

4. Комфорт и безопасность: Мы создаем максимально комфортные условия для наших пациентов, чтобы вы могли расслабиться и довериться нам.

Что включает в себя программа?

• Диагностика состояния зубов и прикуса по данным Компьютерной томографии и МРТ исследования ( если необходимо). Составление плана реабилитации и финансового плана.

•Профессиональная гигиена полости рта.

• Лечение кариеса и других сопутствующих заболеваний.

• Планирование протезирования: Аксиография, предварительная лабораторная моделировка зубов, примерка в полости рта нового смыкания и новой формы зубов.

• Установка коронок, мостов и имплантов.

️Подробнее по телефону + 7(8352) 70-97-91

Винокур Анастасия Александровна
Винокур Анастасия Александровна

Одобрено

·

Ортопед

Записаться на прием
Просмотров: 570
Другие услуги
Консультация и диагностика
От 1 000 Консультация и диагностика фото
Имплантация
От 32 500 Имплантация фото
Виниры
От 33 500 Виниры фото
Коронки
От 33 500 Коронки фото
Установка брекетов
От 45 000 Установка брекетов фото
Установка элайнеров
От 185 000 Установка элайнеров фото
Лечение зубов
От 4 000 Лечение зубов фото
Профессиональная гигиена
От 1 900 Профессиональная гигиена фото