О враче
Винокур Анастасия Александровна - выдающийся специалист в области стоматологии и основатель собственной клиники, чей профессиональный путь стал примером преданности своему делу и постоянного совершенствования. За более чем 15 лет практики она зарекомендовала себя как один из ведущих экспертов в сфере эстетического восстановления зубов.
Как главный врач клиники, Анастасия Александровна воплотила в жизнь свою мечту о создании современного стоматологического учреждения, где каждый пациент получает лечение на высочайшем уровне. В качестве стоматолога-ортопеда и терапевта она демонстрирует исключительное мастерство в восстановлении и сохранении здоровья зубов своих пациентов.
Её профессиональные достижения впечатляют: победа во всероссийских конкурсах, звание чемпиона России в номинации “Эстетическая реставрация”, почетное звание “Отличник стоматологии” и орден Заслуги перед стоматологией - все это лишь малая часть признания её заслуг в профессиональном сообществе.
Особое место в её специализации занимает гнатология - область, занимающаяся диагностикой и лечением проблем височно-нижнечелюстного сустава. Этот редкий профиль позволяет ей комплексно подходить к решению стоматологических проблем пациентов, обеспечивая не только эстетическую привлекательность, но и функциональность зубочелюстной системы.
В своей практике Анастасия Александровна придерживается принципа использования только самых современных материалов и технологий. Она успешно внедряет в работу передовые методики, которые применяются в лучших мировых клиниках.
Под её руководством работает команда высококвалифицированных специалистов, признанных лучших в Республике и России. Она постоянно следит за инновациями в стоматологии, регулярно участвуя в международных конгрессах, семинарах и тренингах, где обменивается опытом с ведущими специалистами со всего мира.
Анастасия Александровна не просто врач - она настоящий лидер и наставник, который вдохновляет свою команду на постоянное развитие и совершенствование. Её клиника стала центром передовых стоматологических технологий, где каждый пациент получает индивидуальный подход и высококачественное лечение с использованием самых современных методик и материалов.
Её профессионализм и преданность своему делу позволяют решать даже самые сложные клинические случаи, возвращая пациентам красивую улыбку и уверенность в себе. Под её руководством клиника постоянно развивается и совершенствуется, внедряя новые технологии и методики, чтобы предоставлять пациентам максимально эффективное и комфортное лечение.
Анастасия Александровна продолжает оставаться в авангарде развития современной стоматологии, постоянно расширяя свои знания и навыки, чтобы предлагать пациентам самые передовые и инновационные решения в области эстетической стоматологии и гнатологии.
Первичная консультация врача-стоматолога
Консультация
1500 ₽Консультация гнатолога
1700 ₽
Эстетическая стоматология
Композитный Винир
от 8 000 ₽Художественная реставрация
от 7 500 ₽Реставрация зуба фотокомпонентами/нанополимерами
от 6 500 ₽Фотоотбеливание зубов ZOOM 4 White Speed
от 39 500 ₽Профессиональное отбеливание зубов клиническое аппаратное (зона улыбки)
23 500 ₽
Несъемное протезирование
Коронка из диоксида циркония
от 37 000 ₽Безметалловая коронка E. Max Press
37 000 ₽Керамический винир
от 37 000 ₽
Несъемное протезирование
Коронка из диоксида циркония
от 37 000 ₽Безметалловая коронка E. Max Press
37 000 ₽Керамический винир
от 37 000 ₽
Награды 3
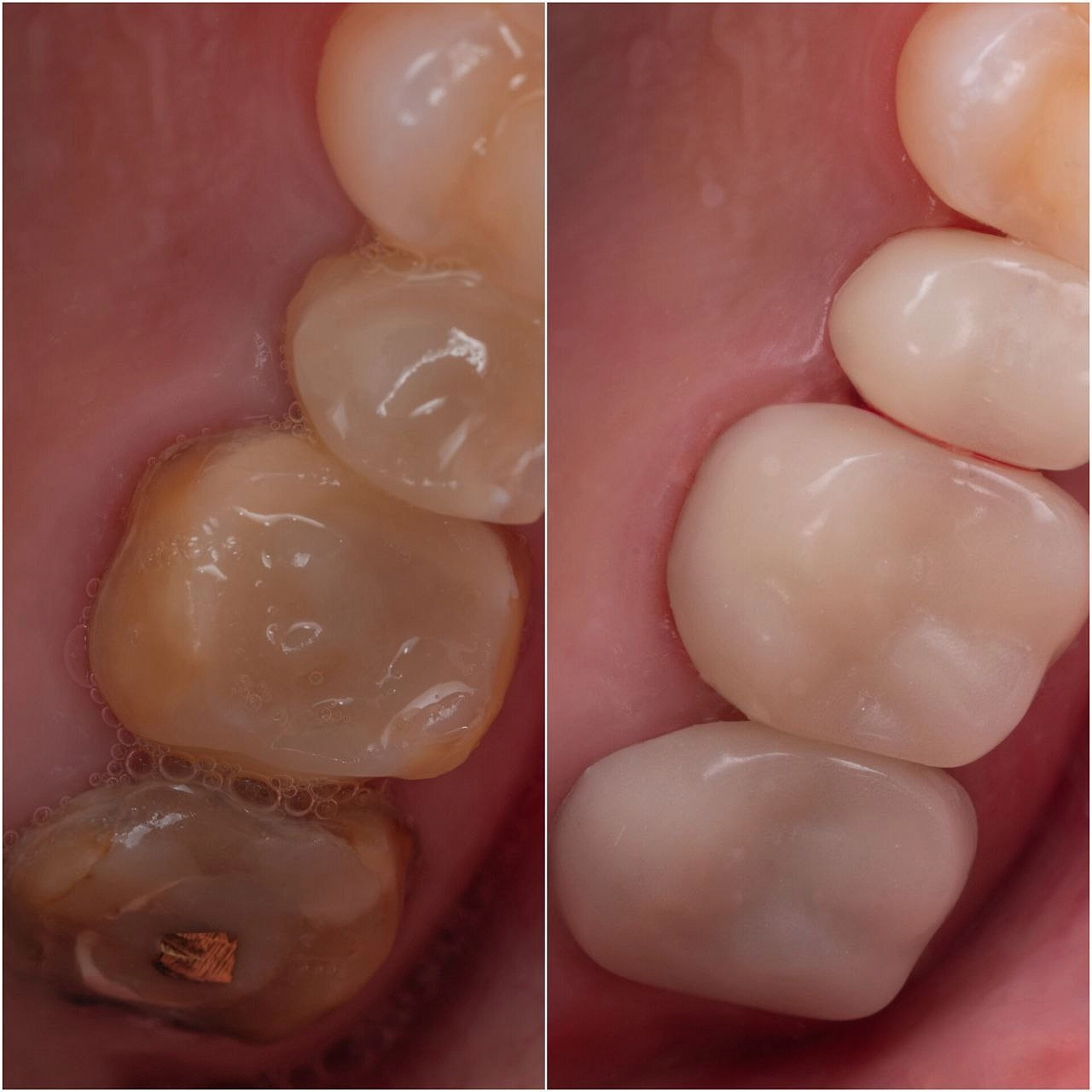
Работы в портфолио 4
Отзывы 2
Сортировать:
Понравилось
О докторе Винокур у меня сложились только хорошие впечатления! Я считаю, это очень грамотный специалист. Толково всё разъяснила и рассказала, посмотрела снимки, с которыми я изначально пришла. Приём начался без задержки и занял минут 40. Я обратилась в связи с тем, что челюсть с одной стороны не вставала на место, были щелчки. Анастасия Александровна прописала график лечения и полностью указала, что нужно сделать до следующей встречи, а также сориентировала по ценам терапии. В целом, Винокур А.А. очень доброжелательно отнеслась, всё сделала точно времени. В дальнейшем я вернусь к данному специалисту. Уже могу посоветовать её другим людям.
Понравилось
По моему мнению, Винокур А.А. очень доброжелательная и улыбчивая, ей хочется обо всем рассказать и довериться. Я бы сказала, что врач довольно позитивная и придает уверенности, она мне очень понравилась. Я обратилась к специалисту, потому что мне необходимо протезирование и лечение зубов. Ранее делала КТ и принесла с собой результат, врач его изучила и мы составили план лечения. По снимку доктор направила меня на консультацию к хирургу, а также сориентировала по стоимости. Мне кажется, что времени на консультации было уделено достаточно, я не заметила спешки. На приеме мы все обговорили и обсудили, информацию она доносила на понятном языке. На мой взгляд, Винокур Анастасию Александровну обязательно можно и нужно рекомендовать другим людям, врач оставляет приятное впечатление!
Винокур Анастасия Александровна
Стоматолог, Cтоматолог-ортопед
Другие врачи в Иннова Клиник
Заполните форму и мы свяжемся с вами
в ближайшее время
Заполните форму и мы свяжемся с вами
в ближайшее врем
Заполните форму и мы свяжемся с вами
в ближайшее время
Заполните форму и мы свяжемся с вами
в ближайшее время
Ваша заявка успешно отправлена
Наши специалисты свяжутся с Вами в ближайшее время
Что-то пошло не так, попробуйте отправить заявку чуть позже
Награды
2016
2013
2016