Статья #12 | Советы "Иннова Клиник"
Онлайн запись

Статья #12

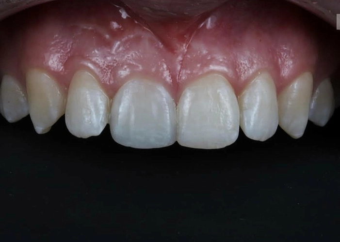
Вот и итог сложной реставрации. На этот результат ушло пол года. Для того, чтобы подготовить зуб и устранить источник инфекции из корня и кости, потребовалось перелечивание канала, проведение резекции верхушки корня, 3 посещения на реставрационный этап, включающий эндодонтическое отбеливание зуба, реставрацию с применением композитных красок и, непосредственно, коррекцию контуров зуба. Была предложена десневая коррекция, но пациенка от нее отказалась, оставшись довольна имеющимся результатом.

#инноваклиник #лечениезубовчебоксары #отбеливаниезубовчебоксары

#винокурстоматолог #стоматологвинокур

Просмотров: 187
Другие услуги
Консультация и диагностика
От 1000 Консультация и диагностика фото
Имплантация
От 32 500 Имплантация фото
Виниры
От 33 500 Виниры фото
Коронки
От 33 500 Коронки фото
Установка брекетов
От 45 000 Установка брекетов фото
Установка элайнеров
От 185 000 Установка элайнеров фото
Лечение зубов
От 4 000 Лечение зубов фото
Профессиональная гигиена
От 1900 Профессиональная гигиена фото