Закрытие промежутков между зубами | Советы "Иннова Клиник"
Онлайн запись

Закрытие промежутков между зубами

Оглавление

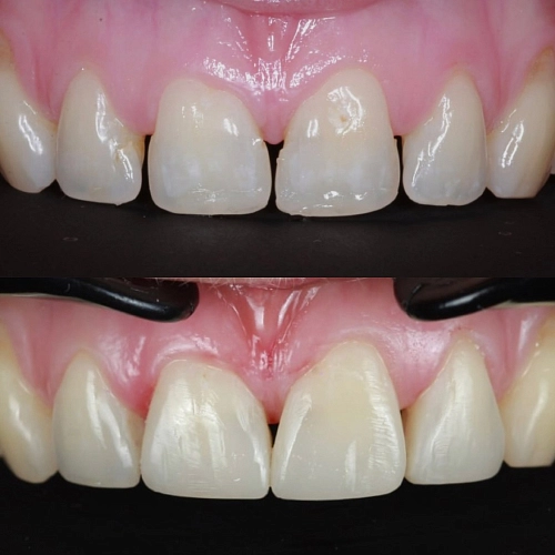
Клинический случай: Закрытие промежутков между зубами после ортодонтического лечения композитным материалом без препарирования

Пациентка обратилась с жалобами на эстетические недостатки улыбки после завершения (не нашего) ортодонтического лечения. Несмотря на то, что зубы были выровнены, оставшиеся промежутки между ними создавали дискомфорт и снижали уверенность в себе.

Для достижения наилучшего результата было решено использовать композитный материал без предварительного препарирования зубов.

1. Сканирование зубов: До начала реставраций было проведено сканирование зубов для изготовления прототипа будущей формы, с которой врач сделает слепок и перенесет ее в полость рта.

2. Подбор композитного материала: В первую очередь был подобран композитный материал, максимально соответствующий естественному цвету зубов пациентки. Это обеспечит гармоничное сочетание и естественный вид.

3. Подготовка зубов: Зубы были очищены от налета и загрязнений, чтобы обеспечить хорошую адгезию композита. Поверхность зубов подготовили порошкоструйным методом для улучшения сцепления.

4. Нанесение композита: Композитный материал был аккуратно нанесен на промежутки между зубами. Используя технику послойного наложения, специалист создал форму, соответствующую анатомии зуба, что позволило добиться естественного вида.

5. Полимеризация: Каждый слой композита был полимеризован с помощью светового полимеризатора, что обеспечивало прочность и долговечность материала.

6. Финишная обработка: После завершения наложения композита зубы были отполированы до блеска, что придало им естественный вид и улучшило эстетические характеристики.

После завершения процедуры пациентка была довольна результатом. Промежутки между зубами были успешно закрыты, а улыбка приобрела гармоничный и эстетичный вид.

Работа врача-стоматолога-терапевта Романовой Анастасии Александровны.

Романова Анастасия Александровна
Романова Анастасия Александровна

Одобрено

·

Стоматолог-терапевт

Записаться на прием
Просмотров: 893
Другие услуги
Консультация и диагностика
От 1000 Консультация и диагностика фото
Имплантация
От 32 500 Имплантация фото
Виниры
От 33 500 Виниры фото
Коронки
От 33 500 Коронки фото
Установка брекетов
От 45 000 Установка брекетов фото
Установка элайнеров
От 185 000 Установка элайнеров фото
Лечение зубов
От 4 000 Лечение зубов фото
Профессиональная гигиена
От 1900 Профессиональная гигиена фото