Болезненные ощущения в зубе при нажатии | Советы "Иннова Клиник"
Онлайн запись

Болезненные ощущения в зубе при нажатии

Оглавление

Пациент обратился с жалобами на болезненные ощущения в зубе при нажатии.

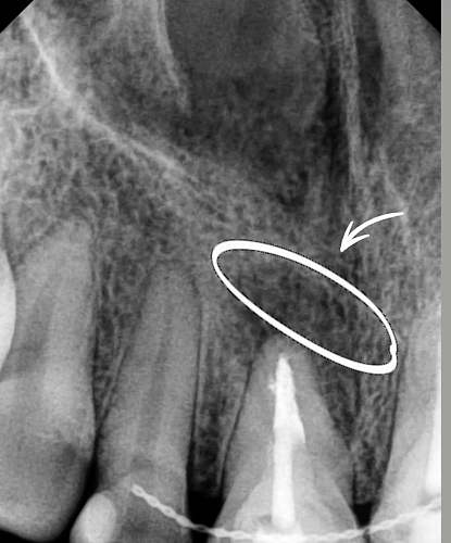
После осмотра и рентгенологической диагностики был выявлен участок разрежения костной ткани, (хронический периодонтит). В ходе микроскопической ревизии инфицированного содержимого корневого канала была проведена санация, а затем пломбирование.

Контрольный осмотр через 6 месяцев показал полное заживление костной ткани и восстановление здоровья зуба.

Лечение проводила врач-эндодонтист Морозова Александра Сергеевна.

#лечениезубов #стоматологчебоксары #стоматологиячебоксары #брекетычебоксары

Морозова Александра Сергеевна
Морозова Александра Сергеевна

Одобрено

·

Стоматолог-эндодонтист

Записаться на прием
Просмотров: 670
Другие услуги
Консультация и диагностика
От 1000 Консультация и диагностика фото
Имплантация
От 32 500 Имплантация фото
Виниры
От 33 500 Виниры фото
Коронки
От 33 500 Коронки фото
Установка брекетов
От 45 000 Установка брекетов фото
Установка элайнеров
От 185 000 Установка элайнеров фото
Лечение зубов
От 4 000 Лечение зубов фото
Профессиональная гигиена
От 1900 Профессиональная гигиена фото