Комплексная ортодонтическая коррекция верхней и нижней челюсти | Советы "Иннова Клиник"
Онлайн запись

Комплексная ортодонтическая коррекция верхней и нижней челюсти

Оглавление

Комплексная ортодонтическая коррекция верхней и нижней челюсти

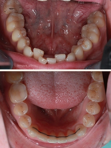
До лечения:

— выраженная скученность на нижней челюсти

— зубы располагались «зуб на зуб»

— на верхней челюсти

— неровное положение зубов и смещение клыков

Это не только про эстетику — в таких случаях сложнее ухаживать за зубами и со временем могут появляться проблемы ‍

Лечение проводилось на системе

Damon Q braces system

Срок: 1 год 3 месяца

В процессе удалось:

— создать место для выравнивания зубов

— выровнять клыки на верхней челюсти

— убрать скученность на нижней

— сделать зубные ряды ровными

Результат — ровные зубы, аккуратная улыбка и комфортный прикус

Если вы давно задумывались о выравнивании зубов — возможно, сейчас самое время начать

Первый шаг — консультация, на которой мы разберём именно вашу ситуацию и составим план лечения.

Записаться на консультацию:

+7 8352 70 97 91

Чебоксары, ул. Радужная, 5

Чебоксары, ул. Богдана Хмельницкого, 51

Глухова Татьяна Александровна
Глухова Татьяна Александровна

Стоматолог-ортодонт

·

Записаться на прием
Просмотров: 303
Другие услуги
Консультация и диагностика
От 1000 Консультация и диагностика фото
Имплантация
От 32 500 Имплантация фото
Виниры
От 33 500 Виниры фото
Коронки
От 33 500 Коронки фото
Установка брекетов
От 45 000 Установка брекетов фото
Установка элайнеров
От 185 000 Установка элайнеров фото
Лечение зубов
От 4 000 Лечение зубов фото
Профессиональная гигиена
От 1900 Профессиональная гигиена фото