Скол переднего зуба: восстановили форму и эстетику | Советы "Иннова Клиник"
Онлайн запись

Скол переднего зуба: восстановили форму и эстетику

Оглавление

Скол переднего зуба: восстановили форму и эстетику

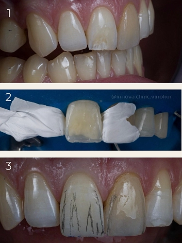
Пациент пришёл с жалобой на скол центрального зуба и повышенную чувствительность.

Повреждение произошло во время приёма пищи.

Так как пациент был приезжий и не было возможности предварительно смоделировать зуб в лаборатории, было принято решение выполнить прямую реставрацию.

Сначала в полости рта был создан пробный макет будущего зуба из временного композита.

Это позволило точно определить форму и внешний вид реставрации.

На основе макета была снята форма, с её помощью восстановили зуб после подготовки.

Реставрация проводилась послойно с использованием многофункционального композитного материала:

Дентинные оттенки для создания естественной основы

Эмалевые оттенки для натуральной прозрачности

В результате удалось полностью восстановить форму зуба, устранить чувствительность — зуб выглядит естественно и не отличается от своих

Романова Анастасия Александровна
Романова Анастасия Александровна

Одобрено

·

Стоматолог-терапевт

Записаться на прием
Просмотров: 602
Другие услуги
Консультация и диагностика
От 1000 Консультация и диагностика фото
Имплантация
От 32 500 Имплантация фото
Виниры
От 33 500 Виниры фото
Коронки
От 33 500 Коронки фото
Установка брекетов
От 45 000 Установка брекетов фото
Установка элайнеров
От 185 000 Установка элайнеров фото
Лечение зубов
От 4 000 Лечение зубов фото
Профессиональная гигиена
От 1900 Профессиональная гигиена фото