Композитная реставрация | Советы "Иннова Клиник"
Онлайн запись

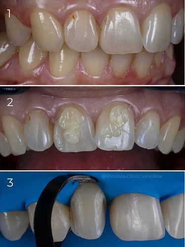
Композитная реставрация

К нам обратился пациент с запросом: его не устраивал внешний вид зубов — неровности и трещины на эмали.

Мы предложили решение — композитную

реставрацию

Реставрация зубов — это процедура, которая позволяет:

— Скорректировать цвет

— Изменить форму зубов

— Устранить небольшую кривизну

— Восстановить утраченные ткани

— Убрать сколы режущего края

— Закрыть промежутки между зубами

Результат: зубы выглядят более ровно и ухоженно

И хотим сказать, всё делается за 1 визит — вы уходите с новой улыбкой уже в день обращения

Если вы тоже хотите улучшить внешний вид зубов — композитная реставрация может стать быстрым решением без сложных вмешательств.

Приходите на консультацию — подберём оптимальный вариант именно для вас

Просмотров: 73
Другие услуги
Консультация и диагностика
От 1000 Консультация и диагностика фото
Имплантация
От 32 500 Имплантация фото
Виниры
От 33 500 Виниры фото
Коронки
От 33 500 Коронки фото
Установка брекетов
От 45 000 Установка брекетов фото
Установка элайнеров
От 185 000 Установка элайнеров фото
Лечение зубов
От 4 000 Лечение зубов фото
Профессиональная гигиена
От 1900 Профессиональная гигиена фото