Статья #25 | Советы "Иннова Клиник"
Онлайн запись

Статья #25

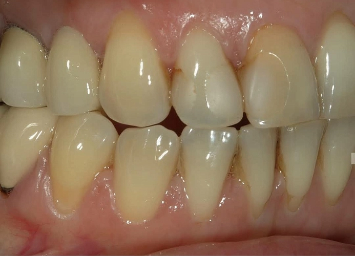
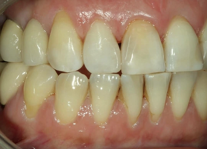
Замена старых композитных реставраций.

Почему происходит краевое прокрашивание пломбы?

Причин много:

1. Реставрация проведена одной порцией композита, в результате ее отклеивание от стенок после усадки.

2. Прошло много времени и, действительно, пришел ее срок замены.

3. Несоблюдение методики "приклеивания" той самой пломбы. В результате, ее отклеивание по краям.

4. Работа без изоляции. Коффердам- важная и неотъемлемая часть любого стоматологического вмешательства.

5. Слишком большая порция композитного материала, когда вместо коронки ставится "пломба". Стенки не выдерживают нагрузки.

В среднем, композитная реставрация должна служить около 7-8 лет, а зачастую, и больше.

#инноваклиник#лечениезубовчебоксары #стоматологиячебоксары #винирычебоксары

Просмотров: 230
Другие услуги
Консультация и диагностика
От 1000 Консультация и диагностика фото
Имплантация
От 32 500 Имплантация фото
Виниры
От 33 500 Виниры фото
Коронки
От 33 500 Коронки фото
Установка брекетов
От 45 000 Установка брекетов фото
Установка элайнеров
От 185 000 Установка элайнеров фото
Лечение зубов
От 4 000 Лечение зубов фото
Профессиональная гигиена
От 1900 Профессиональная гигиена фото