Статья #30 | Советы "Иннова Клиник"
Онлайн запись

Статья #30

Иногда, в работе, приходится быть художником.

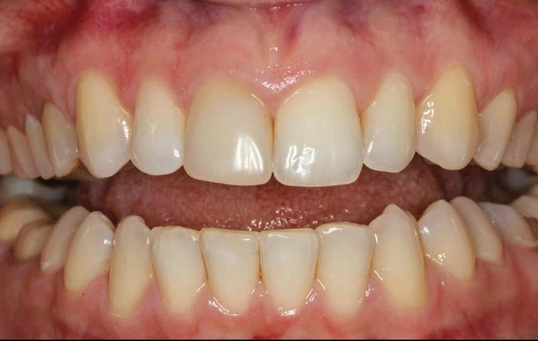
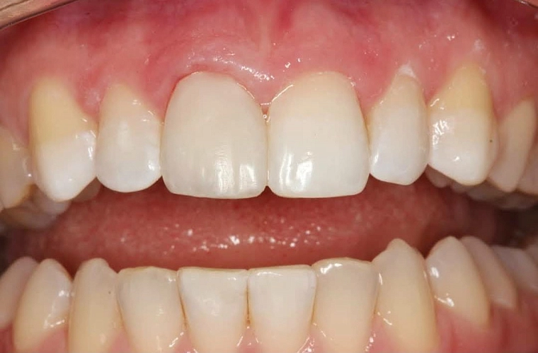
Изначальная ситуация была реставрация ( весьма корректная на мой взгляд), которая не устраивала пациентку. Было незначительное затемнение зуба и отсутствие естественной прозрачности по режущему краю, в результате чего зуб контрастировал с соседним.

Для меня это один из сложных видов реставраций, так как приходится работать с зубом, у которого есть свой темный фон.

Реставрация проходила с использованием 5 оттенков материала, слои выкладывались последовательно. На последнем фото изначальная ситуация.

#винирычебоксары #отбеливаниезубов

Просмотров: 263
Другие услуги
Консультация и диагностика
От 1000 Консультация и диагностика фото
Имплантация
От 32 500 Имплантация фото
Виниры
От 33 500 Виниры фото
Коронки
От 33 500 Коронки фото
Установка брекетов
От 45 000 Установка брекетов фото
Установка элайнеров
От 185 000 Установка элайнеров фото
Лечение зубов
От 4 000 Лечение зубов фото
Профессиональная гигиена
От 1900 Профессиональная гигиена фото