Статья #390 | Советы "Иннова Клиник"
Онлайн запись

Статья #390

Почему после ортодонтического лечения в большинстве случаев зубы нуждаются в восстановлении стертой части

В процессе неправильного смыкания происходит стираемость определенных участков зубов.

После ортодонтической коррекции ось зубов и соотношение зубов выравнивается и, соответственно, стёртые участки эмали, которые были до ортодонтического лечения, нуждаются в восстановлении.

В большинстве случаев после ортодонтической коррекции может потребоваться восстановление стираемости эмали или неравномерности смыкания при помощи:

Избирательного пришлифовывания

Тотального восстановления композитными накладками

Тотального восстановления керамическими реставрациями

Иногда, при сохранности передней группы зубов восстанавливаются только жевательные зубы для того, чтобы была поддержка и стабилизация смыкания.

Все это необходимо для того, чтобы зубы не потеряли своей правильной позиции и снова не разошлись.

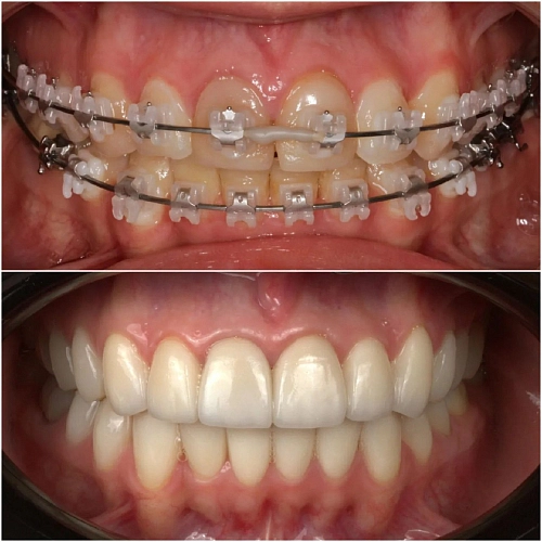
На фото представлен клинический случай.

Выполнено постортодонтическое тотальное восстановление патологической стираемости зубов керамическими реставрациями (накладками, винирами, коронками).

Записаться на консультацию можно по телефону +7(8352)75-54-75 либо напишите нам vk.me/innovaclinic

Просмотров: 240
Другие услуги
Консультация и диагностика
От 1 000 Консультация и диагностика фото
Имплантация
От 32 500 Имплантация фото
Виниры
От 33 500 Виниры фото
Коронки
От 33 500 Коронки фото
Установка брекетов
От 45 000 Установка брекетов фото
Установка элайнеров
От 185 000 Установка элайнеров фото
Лечение зубов
От 4 000 Лечение зубов фото
Профессиональная гигиена
От 1 900 Профессиональная гигиена фото