Статья #396 | Советы "Иннова Клиник"
Онлайн запись

Статья #396

В современной стоматологии важно, чтобы реставрационный пломбировочный материал идеально адаптировался к тканям зуба, не был ощутим во рту и служил как можно дольше.

Удовлетворить такие запросы способны пломбы из светоотверждаемых материалов (фотополимерные пломбы), поставленные по определенной технологии.

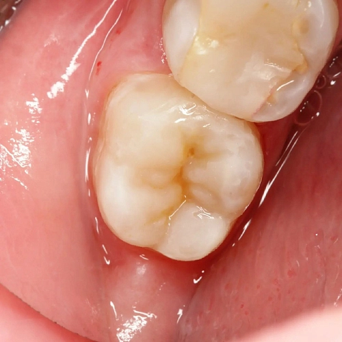
Каждая такая реставрация (пломба), подобно здоровому зубу , состоит из нескольких слоев, имеющих несколько степеней прозрачности.

Дополнительно она подкрашивается специальными красками под цвет окружающих зубов для того, чтобы реставрация имела естественный внешний вид.

На фото работа врача - терапевта Рябковой Анастасии Александровны

Записаться на консультацию можно по телефону +7(8352) 75-54-75 либо напишите нам vk.me/innovaclinic

Просмотров: 178
Другие услуги
Консультация и диагностика
От 1000 Консультация и диагностика фото
Имплантация
От 32 500 Имплантация фото
Виниры
От 33 500 Виниры фото
Коронки
От 33 500 Коронки фото
Установка брекетов
От 45 000 Установка брекетов фото
Установка элайнеров
От 185 000 Установка элайнеров фото
Лечение зубов
От 4 000 Лечение зубов фото
Профессиональная гигиена
От 1900 Профессиональная гигиена фото