Статья #753 | Советы "Иннова Клиник"
Онлайн запись

Статья #753

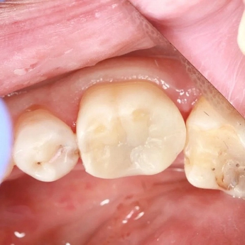
Подготовка зуба под постоянное протезирование.

Подготовка включает в себя несколько этапов

Если зуб без нерва:

Врач по компьютерной томографии оценивает исходную ситуацию и качество запломбированного канала

Если необходимо ( в случае обнаружения инфекции и некачественно зарломбированного канала), микроскопист проводит эндодонтическое лечение

В случае, если зуб сильно разрушен, устанавливается стекловолоконный штифт и выполняется композитная реставрация

Если зуб сильно разрушен, но нерв сохранен, тогда зуб восстанавливается композитным материалом и такой зуб рекомендован к дальнейшему укреплению керамической накладкой.

Работу проводила Анастасия Сергеевна Никитина.

Записаться на консультацию можно по телефону +7(8352) 70-97-91 либо напишите нам

Просмотров: 224
Другие услуги
Консультация и диагностика
От 1000 Консультация и диагностика фото
Имплантация
От 32 500 Имплантация фото
Виниры
От 33 500 Виниры фото
Коронки
От 33 500 Коронки фото
Установка брекетов
От 45 000 Установка брекетов фото
Установка элайнеров
От 185 000 Установка элайнеров фото
Лечение зубов
От 4 000 Лечение зубов фото
Профессиональная гигиена
От 1900 Профессиональная гигиена фото