Статья #767 | Советы "Иннова Клиник"
Онлайн запись

Статья #767

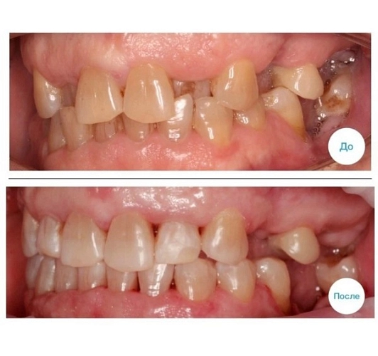
Ортодонтическая подготовка перед протезированием – это отдельный этап лечения перед началом протезирования.

В ходе ортодонтической подготовки создаются оптимальные условия для последующего протезирования, что в конечном итоге приводит к получению максимального эстетического и функционального результата.

Пациент проходил лечение на съёмных прозрачных каппах (элайнерах)

Срок лечения : 1 год и 3 месяца

Проведена ортодонтическая подготовка к качественному протезированию

Ортодонтическое лечение проводила врач - ортодонт Бахмисова Инна Николаевна

#ортодонтчебоксары #брекетычебоксары #косметологчебоксары #элайнерычебоксары

Просмотров: 277
Другие услуги
Консультация и диагностика
От 1000 Консультация и диагностика фото
Имплантация
От 32 500 Имплантация фото
Виниры
От 33 500 Виниры фото
Коронки
От 33 500 Коронки фото
Установка брекетов
От 45 000 Установка брекетов фото
Установка элайнеров
От 185 000 Установка элайнеров фото
Лечение зубов
От 4 000 Лечение зубов фото
Профессиональная гигиена
От 1900 Профессиональная гигиена фото