Статья #779 | Советы "Иннова Клиник"
Онлайн запись

Статья #779

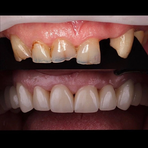
Для создания идеальной эстетики зубного ряда широко применяются безметалловые коронки , особенно если речь о зубах в зоне улыбки .

По прочности они не уступают металлокерамическим коронкам и имеют рад преимуществ :

препарирование зуба под такую коронку – минимально, т.е. максимально сохраняем здоровые ткани зуба;

устанавливать безметалловые коронки можно на все зубы – боковые и передние;

идеальная эстетика достигается засчёт отсутствия металла – десневой край никогда не потемнеет, а коронка идеально прилегает к десне;

внешне безметалловые коронки совершенно неотличимы от натуральных зубов, подбирается оттенок полностью идентичный цвету зубов пациента.

безметалловая коронка намного прочнее, чем другие виды коронок склеивается с тканями зуба, что обеспечивает герметичность конструкции на долгие годы.

Работа врача-ортопеда Сергеевой Анастасии Сергеевной

Записаться на консультацию можно по телефону +7(8352) 70-97-91 либо напишите нам

#визажистчебоксары #моднаяодеждачебоксары #беременностьчебоксары #стилистчебоксары #чисткалицачебоксары #пилингчебоксары #косметологчебоксары

Просмотров: 216
Другие услуги
Консультация и диагностика
От 1000 Консультация и диагностика фото
Имплантация
От 32 500 Имплантация фото
Виниры
От 33 500 Виниры фото
Коронки
От 33 500 Коронки фото
Установка брекетов
От 45 000 Установка брекетов фото
Установка элайнеров
От 185 000 Установка элайнеров фото
Лечение зубов
От 4 000 Лечение зубов фото
Профессиональная гигиена
От 1900 Профессиональная гигиена фото