Статья #786 | Советы "Иннова Клиник"
Онлайн запись

Статья #786

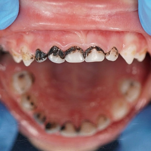
Почему вредно серебрение зубов?

Серебрение зубов — процедура, заключающаяся в обработке эмали специальным «консервирующим» раствором.

️Но, если нанести раствор серебра на зуб, в котором есть кариозная полость, он продолжит разрушаться Кариозные бактерии, находящиеся под пленкои‌ серебра, полностью не погибают и продолжают «разъедать» зуб.

Еще‌ один минус этой устаревшей методики — это то, что ребенок ходит с че‌рными зубами до их смены. А еще‌ соединения серебра при неаккуратном нанесении могут вызвать ожог слизистой.

В нашей стоматологической клинике применяются отличные альтернативы серебрению молочных зубов

Если кариес только в стадии пятна, есть эффективныи‌ метод лечения — реминерализация эмали. Зубы насыщают необходимыми минералами, но при этом нет осложнений в виде че‌рной улыбки.

Если есть кариозная полость, необходимо своевременное и современное лечение, кариозные ткани удаляют бором и реставрируют зуб.

Еще‌ один способ — лечение без сверления, методика «ICON».

Записаться на консультацию можно по телефону +7(8352) 70-97-91 либо напишите нам

Просмотров: 251
Другие услуги
Консультация и диагностика
От 1000 Консультация и диагностика фото
Имплантация
От 32 500 Имплантация фото
Виниры
От 33 500 Виниры фото
Коронки
От 33 500 Коронки фото
Установка брекетов
От 45 000 Установка брекетов фото
Установка элайнеров
От 185 000 Установка элайнеров фото
Лечение зубов
От 4 000 Лечение зубов фото
Профессиональная гигиена
От 1900 Профессиональная гигиена фото