Статья #1003 | Советы "Иннова Клиник"
Онлайн запись

Статья #1003

"Опасность незамеченного мягкого зубного налета"

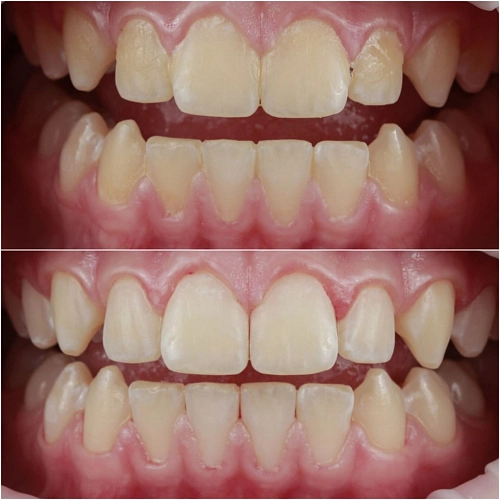
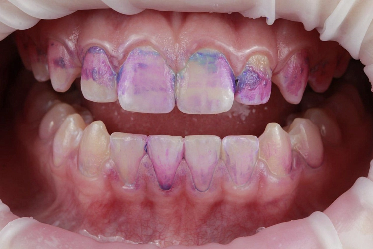
Незамеченный мягкий зубной налет — это не только косметическая проблема, но и серьезная проблема здоровья вашей полости рта. В отличие от зубного камня, который виден невооруженным глазом, мягкий налет может быть незаметным, но не менее опасным.

В этом мягком налете скрывается большое количество патогенной микрофлоры, которая способна разрушать зубную эмаль. Эти микробы производят кислоты, которые атакуют эмаль, вызывая деминерализацию эмали и приводя к развитию кариозной полости.

Поэтому так важно отрабатывать навык ежедневной гигиены полости рта. Регулярная чистка зубов, использование зубной нити и ополаскивателей помогут убрать мягкий налет и предотвратить его последствия.

Кроме того, рекомендуется обратиться к врачу-гигиенисту для профессиональной гигиены полости рта и получения индивидуальных рекомендаций по уходу за полостью рта.

Врач сможет подобрать подходящие средства и методики ухода, учитывая особенности вашего зубного ряда.

Записаться на консультацию можно по телефону +7(8352)70-97-91 либо напишите нам

Просмотров: 270
Другие услуги
Консультация и диагностика
От 1000 Консультация и диагностика фото
Имплантация
От 32 500 Имплантация фото
Виниры
От 33 500 Виниры фото
Коронки
От 33 500 Коронки фото
Установка брекетов
От 45 000 Установка брекетов фото
Установка элайнеров
От 185 000 Установка элайнеров фото
Лечение зубов
От 4 000 Лечение зубов фото
Профессиональная гигиена
От 1900 Профессиональная гигиена фото