После отбеливания | Советы "Иннова Клиник"
Онлайн запись

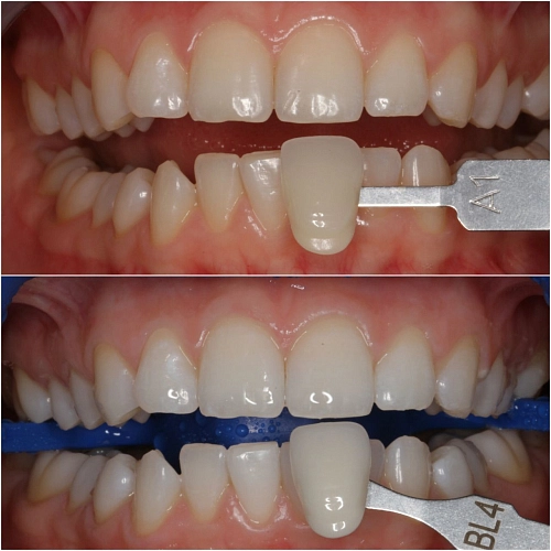
После отбеливания

После отбеливания зубов важно следить за своими зубами особенно бережно, чтобы сохранить результаты процедуры на долгое время. В течение первых двух недель рекомендуется придерживаться белой диеты, чтобы избегать потенциального окрашивания зубов и сохранить их белизну.

После этого уход за зубами не сильно отличается от обычной ежедневной гигиены полости рта. Однако врач-стоматолог может порекомендовать использование специальных средств гигиены, пенки и зубных паст для поддержания отбеливающего эффекта. Также, раз в 6-12 месяцев, врач может посоветовать провести поддерживающее отбеливание.

Если вы хотите усилить отбеливающий эффект или достичь более яркого результата, через 6-12 месяцев после первого отбеливания можно безопасно повторить процедуру. Это поможет сохранить вашу улыбку яркой и привлекательной на долгое время.

Работа врача - стоматолога Романовой Анастасии Александровны

Записаться на консультацию можно по телефону +7(8352)70-97-91 либо напишите нам

Просмотров: 285
Другие услуги
Консультация и диагностика
От 1000 Консультация и диагностика фото
Имплантация
От 32 500 Имплантация фото
Виниры
От 33 500 Виниры фото
Коронки
От 33 500 Коронки фото
Установка брекетов
От 45 000 Установка брекетов фото
Установка элайнеров
От 185 000 Установка элайнеров фото
Лечение зубов
От 4 000 Лечение зубов фото
Профессиональная гигиена
От 1900 Профессиональная гигиена фото