Статья #1016 | Советы "Иннова Клиник"
Онлайн запись

Статья #1016

Почему одномоментная имплантация становится все более популярным выбором для восстановления утраченного зуба? Давайте рассмотрим несколько ключевых преимуществ этой инновационной процедуры:

Мгновенное закрытие пробела отсутствующего зуба временной коронкой сразу после имплантации.

Сокращение реабилитационного периода благодаря возможности немедленной нагрузки на имплантат.

Предотвращение смещения зубного ряда и необходимости последующего ортодонтического лечения, что обычно возникает при задержке установки имплантата.

Предотвращение атрофии челюстной кости, что является серьезной проблемой при потере зубов.

Экономия времени и денег благодаря сокращению количества визитов к врачу и хирургических процедур.

Одномоментная имплантация — это не только удобное и эффективное решение для пациентов, но и инновационный подход, который значительно улучшает результаты лечения.

Чтобы убедиться подходит ли в вашем случае одномоментная имплантация необходима консультация стоматолога - хирурга -имплантолога

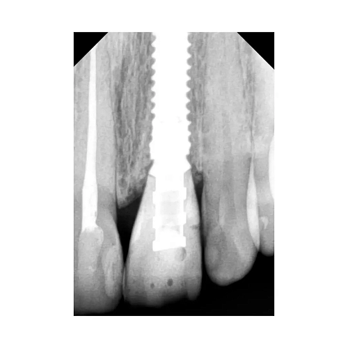
На фото пациенту проведена одномоментная имплантация

Записаться на консультацию можно по телефону +7(8352) 70-97-91 либо напишите нам

Просмотров: 229
Другие услуги
Консультация и диагностика
От 1000 Консультация и диагностика фото
Имплантация
От 32 500 Имплантация фото
Виниры
От 33 500 Виниры фото
Коронки
От 33 500 Коронки фото
Установка брекетов
От 45 000 Установка брекетов фото
Установка элайнеров
От 185 000 Установка элайнеров фото
Лечение зубов
От 4 000 Лечение зубов фото
Профессиональная гигиена
От 1900 Профессиональная гигиена фото