Безметалловая керамика | Советы "Иннова Клиник"
Онлайн запись

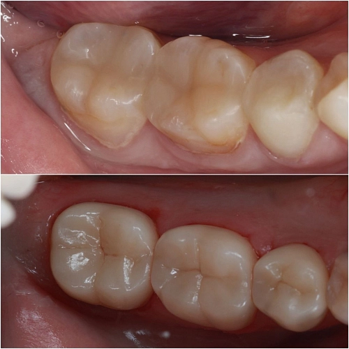
Безметалловая керамика

Безметалловая керамика, на наш взгляд, один из лучших вариантов восстановления сильно разрушенных зубов, у которых ранее был удалён нерв.

Благодаря такому виду укрепления:

Зубы герметично защищены от воздействия внешних механических факторов.

Эстетичны и максимально похожи на настоящие зубы.

Функционален каждый бугор, каждое углубление на коронках спроектировано под особенности прикус пациента .

Керамическая коронка Е-max выглядит эстетично именно за счёт отсутствия металла, который часто придаёт зубу сероватый оттенок. Точное прилегание коронки к зубу делают его максимально функциональными. А возможность адгезивной фиксации позволяет сохранять герметичность дольше, чем другие виды коронок.

Работа врача -стоматолога - ортопеда Сергеевой Анастасии Сергеевны

Записаться на консультацию можно по телефону +7(8352) 70-97-91 либо напишите нам

Просмотров: 281
Другие услуги
Консультация и диагностика
От 1000 Консультация и диагностика фото
Имплантация
От 32 500 Имплантация фото
Виниры
От 33 500 Виниры фото
Коронки
От 33 500 Коронки фото
Установка брекетов
От 45 000 Установка брекетов фото
Установка элайнеров
От 185 000 Установка элайнеров фото
Лечение зубов
От 4 000 Лечение зубов фото
Профессиональная гигиена
От 1900 Профессиональная гигиена фото