Статья #1047 | Советы "Иннова Клиник"
Онлайн запись

Статья #1047

Почему любое лечение начинается с профгигиены?

У этого есть несколько серьезных причин:

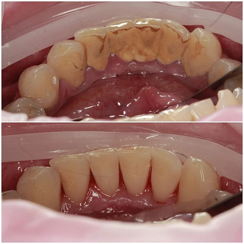
В слюне и ротовой жидкости в среднем содержится больше 100 микроорганизмов в 1 миллилитре, а в зубном налёте — больше 1000 в 1 грамме. Во рту может одномоментно обитать 688 видов различных бактерий. Чтобы бактерии не попали в рабочую зону, ее при лечении изолируют стерильными салфетками и дезинфицируют, потому что в противном случае велик риск вторичного кариеса под пломбой. В процессе профгигиены мы удаляем  микробную пленку, которая образуется уже в течение двух часов после чистки зубов пастой. Если ее не убрать, то все эти микробы попадают под пломбу.

Также профгигиена необходима перед реставрацией. Доктору важно попасть в цвет,  так как налёт на зубах скрывает естественный оттенок.

Профгигиена обязательно проводится перед хирургическим вмешательством и имплантацией. Также, для того, чтобы санировать полость рта от бактерий и уменьшить риски осложнений.

Мы уже говорили, что рекомендуем всем нашим пациентам профгигиену раз в полгода.

Профгигиена раз в полгода позволяет контролировать состояние полости рта и избегать серьезных проблем. Относитесь к этому как к маникюру, педикюру или стрижке.

Это базовая гигиеническая процедура для современного человека.

Записаться можно по телефону +7(8352) 70-97-91 либо напишите нам

Просмотров: 239
Другие услуги
Консультация и диагностика
От 1000 Консультация и диагностика фото
Имплантация
От 32 500 Имплантация фото
Виниры
От 33 500 Виниры фото
Коронки
От 33 500 Коронки фото
Установка брекетов
От 45 000 Установка брекетов фото
Установка элайнеров
От 185 000 Установка элайнеров фото
Лечение зубов
От 4 000 Лечение зубов фото
Профессиональная гигиена
От 1900 Профессиональная гигиена фото