Статья #1052 | Советы "Иннова Клиник"
Онлайн запись

Статья #1052

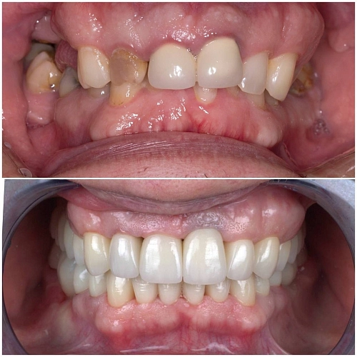
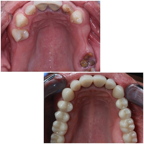
Клинический случай:

У пациента значительная потеря зубов, что привело к изменению прикуса и функциональным нарушениям.

План лечения:

1. Лечение зубов: На первоначальном этапе была проведена санация полости рта. Удалены не подлежащие восстановлению зубы, проведены процедуры по лечению кариеса и подготовке оставшихся зубов к дальнейшему лечению. Это создало оптимальные условия для последующих ортопедических и ортодонтических вмешательств.

2. Ортодонтическая коррекция: В данном случае коллегиально было принято решение о необходимости ортодонтического вмешательства для достижения правильного смыкания и восстановления функций.

3. Установка имплантов: На этапе ортодонтического лечения были установлены импланты в области отсутствующих зубов, что позволило создать опору для дальнейшего протезирования.

4. Тотальное протезирование: После завершения ортодонтического этапа и интеграции имплантов было проведено тотальное протезирование с поднятием высоты прикуса. Это позволило восстановить функциональные и эстетические параметры.

5. Работа с ВНЧС: В процессе лечения была проведена работа с ВНЧС, включая разобщение безопасного положения нижней челюсти для устранения дисфункции и уменьшения нагрузки на сустав.

Данный клинический случай подчеркивает важность комплексного подхода к лечению пациентов с нарушениями прикуса и функциональными проблемами. Ортодонтическое вмешательство в сочетании с имплантацией и протезированием может существенно улучшить качество жизни пациента.

Записаться на консультацию можно по телефону +7(8352) 70-97-91 либо напишите нам

Просмотров: 285
Другие услуги
Консультация и диагностика
От 1000 Консультация и диагностика фото
Имплантация
От 32 500 Имплантация фото
Виниры
От 33 500 Виниры фото
Коронки
От 33 500 Коронки фото
Установка брекетов
От 45 000 Установка брекетов фото
Установка элайнеров
От 185 000 Установка элайнеров фото
Лечение зубов
От 4 000 Лечение зубов фото
Профессиональная гигиена
От 1900 Профессиональная гигиена фото