Статья #1056 | Советы "Иннова Клиник"
Онлайн запись

Статья #1056

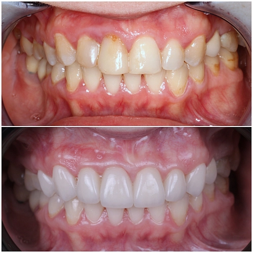
▎Эстетическая стоматология: путь к идеальной улыбке

В современном мире ухоженная улыбка — это не только признак здоровья, но и важный элемент имиджа. Эстетическая стоматология предлагает множество решений для тех, кто хочет улучшить внешний вид своих зубов и уверенность в себе.

▎Что такое эстетическая стоматология?

Эстетическая стоматология занимается не только лечением зубов, но и их преображением. Основные направления включают:

- Отбеливание зубов: Процедуры, которые помогают вернуть зубам естественную белизну, избавляя от пигментации.

- Виниры: Тонкие керамические накладки, которые скрывают дефекты и придают зубам идеальную форму.

- Эстетическая реставрация: Восстановление поврежденных или разрушенных зубов с использованием современных материалов.

- Коррекция прикуса: Исправление неправильного прикуса с помощью брекетов или прозрачных элайнеров.

▎Почему это важно?

1. Уверенность в себе: Красивые зубы способствуют повышению самооценки и позволяют чувствовать себя комфортно в обществе.

2. Здоровье полости рта: Эстетические процедуры часто сопровождаются лечением, что помогает предотвратить серьезные заболевания.

3. Индивидуальный подход: Каждый пациент уникален, и стоматологи разрабатывают персонализированные планы лечения, учитывая особенности вашего лица и улыбки.

Эстетическая стоматология — это не просто мода, а важный аспект заботы о себе. Если вы мечтаете о красивой и здоровой улыбке, обратитесь к профессионалам, которые помогут вам осуществить эту мечту. Помните, что ваша улыбка — это ваша визитная карточка!

Просмотров: 236
Другие услуги
Консультация и диагностика
От 1000 Консультация и диагностика фото
Имплантация
От 32 500 Имплантация фото
Виниры
От 33 500 Виниры фото
Коронки
От 33 500 Коронки фото
Установка брекетов
От 45 000 Установка брекетов фото
Установка элайнеров
От 185 000 Установка элайнеров фото
Лечение зубов
От 4 000 Лечение зубов фото
Профессиональная гигиена
От 1900 Профессиональная гигиена фото