Статья #1062 | Советы "Иннова Клиник"
Онлайн запись

Статья #1062

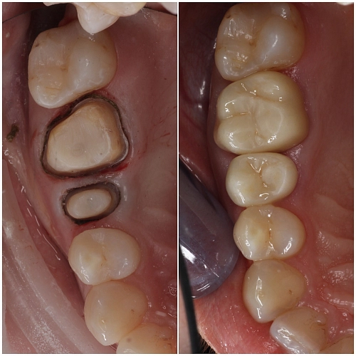
▎Мифы о коронках

Установка коронки может вызывать у пациентов множество опасений. Давайте развенчаем самые распространенные мифы!

Миф №1. Под коронками зубы разрушаются.

На самом деле, качественно установленные коронки защищают зубы от кариеса и других разрушений. Они помогают равномерно распределять жевательную нагрузку, сохраняя здоровье зуба.

Миф №2. Зубы сильно обтачиваются перед установкой коронки.

Современные технологии позволяют обрабатывать всего 1-2 мм зуба, что необходимо для создания идеальной формы и надежной фиксации коронки. Это минимизирует повреждения и сохраняет структуру зуба.

Миф №3. Зуб придется удалять после снятия коронки.

Если установка была выполнена правильно и аккуратно, зуб останется в хорошем состоянии даже после длительного использования коронки. Снятие не приведет к необходимости удаления зуба!

Цель коронки: защитить и сохранить зуб на долгие годы!

Что вас беспокоит при установке коронок? Делитесь в комментариях!

Записаться на консультацию можно по телефону +7(8352) 70-97-91 либо напишите нам

Просмотров: 237
Другие услуги
Консультация и диагностика
От 1000 Консультация и диагностика фото
Имплантация
От 32 500 Имплантация фото
Виниры
От 33 500 Виниры фото
Коронки
От 33 500 Коронки фото
Установка брекетов
От 45 000 Установка брекетов фото
Установка элайнеров
От 185 000 Установка элайнеров фото
Лечение зубов
От 4 000 Лечение зубов фото
Профессиональная гигиена
От 1900 Профессиональная гигиена фото