Статья #1063 | Советы "Иннова Клиник"
Онлайн запись

Статья #1063

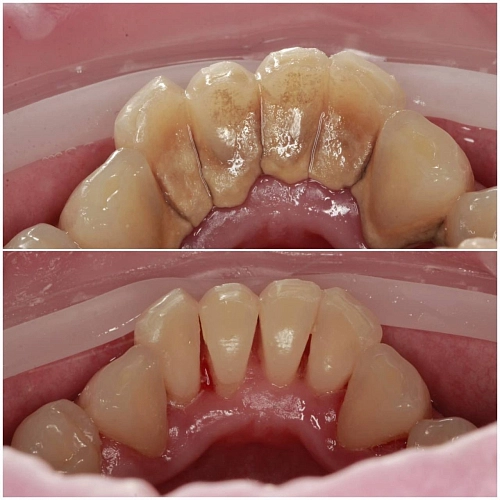
Даже при самом тщательном уходе за зубами в полости рта скапливается налет, который со временем уплотняется и приводит к образованию зубного камня.

В результате этого:

ваши зубы меняют цвет

появляется неприятный запах изо рта

повышается чувствительность зубов и десен

появляется кровоточивость

Образуются пародонтальные карманы

Поэтому, мы рекомендуем делать профессиональную гигиену полости рта раз в пол года — это оптимально, при условии, если ежедневная гигиена не страдает .

Однако, если вы:

курите, часто пьете кофе / чёрный чай

планируете начать комплексное лечение зубов или сделать отбеливание

планируете установить ортодонтические или ортопедические конструкции

или уже установлены брекеты, виниры, коронки, имплантаты, то профессиональную гигиену нужно делать чаще — раз в 3-4 месяца .

Профессиональная гигиена зубов позволяет:

качественно удалить зубной налёт, зубной камень и минеральные отложения

предотвратить воспалительные процессы в деснах

предупредить заболевания полости рта (гингивит, пародонтит, пародонтоз) и образование кариеса

предотвратить подвижность и выпадение зубов

устранить неприятный запах изо рта

значительно улучшить внешний вид зубов (вернуть им естественный цвет и гладкость)

А вы делаете профессиональную гигиену раз в пол года?

Просмотров: 217
Другие услуги
Консультация и диагностика
От 1000 Консультация и диагностика фото
Имплантация
От 32 500 Имплантация фото
Виниры
От 33 500 Виниры фото
Коронки
От 33 500 Коронки фото
Установка брекетов
От 45 000 Установка брекетов фото
Установка элайнеров
От 185 000 Установка элайнеров фото
Лечение зубов
От 4 000 Лечение зубов фото
Профессиональная гигиена
От 1900 Профессиональная гигиена фото