А вдруг новые виниры или коронки мне не подойдут? | Советы "Иннова Клиник"
Онлайн запись

А вдруг новые виниры или коронки мне не подойдут?

Оглавление

А вдруг новые виниры или коронки мне не подойдут ?

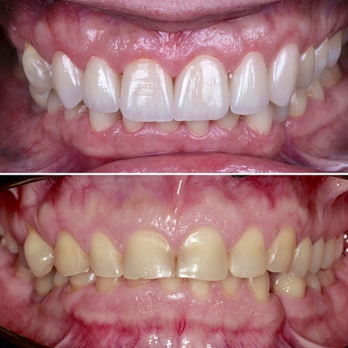
Перед тем как зафиксировать виниры и коронки, вы проходите консультацию, на которой врач определяет вид конструкции и тип материала, подходящий именно вашему клиническому случаю.

Если работа осуществляется в эстетической зоне, доктор отправляет цифровые сканы и всю необходимую информацию о ваших зубах в зуботехническую лабораторию. Зубной техник моделирует индивидуальную для вас форму, учитывая все необходимые параметры.

На следующем приеме стоматолог-ортопед проводит примерку будущей формы зубов, примерка осуществляется на необточенные зубы!

Если требуется коррекция, врач вносит необходимые изменения прямо в кресле.

Только после того, как вы произнесете свое окончательное «ВАУ! Это именно то, что я хотел!»,

работа передается в лабораторию, где создается идеальная форма зубов, которая подойдет именно вам

Записаться на консультацию можно по телефону +7(8352)70-97-91 либо напишите нам

Дербоедов Александр Владимирович
Дербоедов Александр Владимирович

Одобрено

·

Ортопед

Записаться на прием
Просмотров: 592
Другие услуги
Консультация и диагностика
От 1 000 Консультация и диагностика фото
Имплантация
От 32 500 Имплантация фото
Виниры
От 33 500 Виниры фото
Коронки
От 33 500 Коронки фото
Установка брекетов
От 45 000 Установка брекетов фото
Установка элайнеров
От 185 000 Установка элайнеров фото
Лечение зубов
От 4 000 Лечение зубов фото
Профессиональная гигиена
От 1 900 Профессиональная гигиена фото