Профессиональная гигиена полости рта | Советы "Иннова Клиник"
Онлайн запись

Профессиональная гигиена полости рта

Оглавление

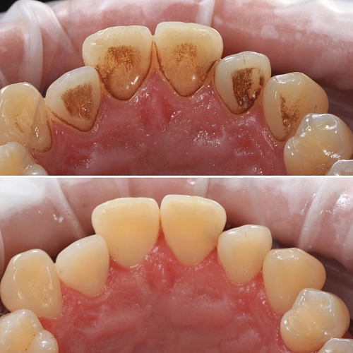
Появление желтого или темного налета является естественным следствием неправильной гигиены полости рта. Чай, кофе, курение, пищевые пигменты постепенно окрашивают эмаль зубов.

При правильной чистке налет удаляется практически полностью, но даже в этих условиях загрязнение может локализоваться в труднодоступных местах, на внутренней поверхности зубов, трещинах и ямках. Образование камней в таких случаях может усиливаться.

Прием красящей пищи - это всегда благоприятные условия для появления налета, так как пористая углеродная пленка на поверхности зубов может хорошо впитывать в себя любые пищевые пигменты.

Сохранить естественный цвет и здоровье зубов поможет хорошая зубная паста, и профессиональная гигиена полости рта раз в полгода.

На фото работа стоматолога -гигиениста Степановой Т.С

Записаться на консультацию можно по телефону +7(8352) 70-97-91 или написать нам

Степанова Татьяна Сергеевна
Степанова Татьяна Сергеевна

Одобрено

·

Гигиенист

Записаться на прием
Просмотров: 575
Другие услуги
Консультация и диагностика
От 1000 Консультация и диагностика фото
Имплантация
От 32 500 Имплантация фото
Виниры
От 33 500 Виниры фото
Коронки
От 33 500 Коронки фото
Установка брекетов
От 45 000 Установка брекетов фото
Установка элайнеров
От 185 000 Установка элайнеров фото
Лечение зубов
От 4 000 Лечение зубов фото
Профессиональная гигиена
От 1900 Профессиональная гигиена фото