Когда нужно удаление зуба при ортодонтическом лечении? | Советы "Иннова Клиник"
Онлайн запись

Когда нужно удаление зуба при ортодонтическом лечении?

Оглавление

Когда нужно удаление зуба при ортодонтическом лечении?

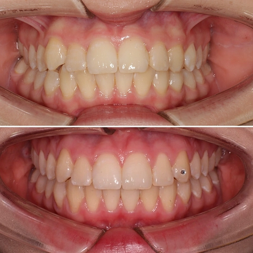
Вопрос об удалении зубов перед ортодонтическим лечением встает достаточно часто.

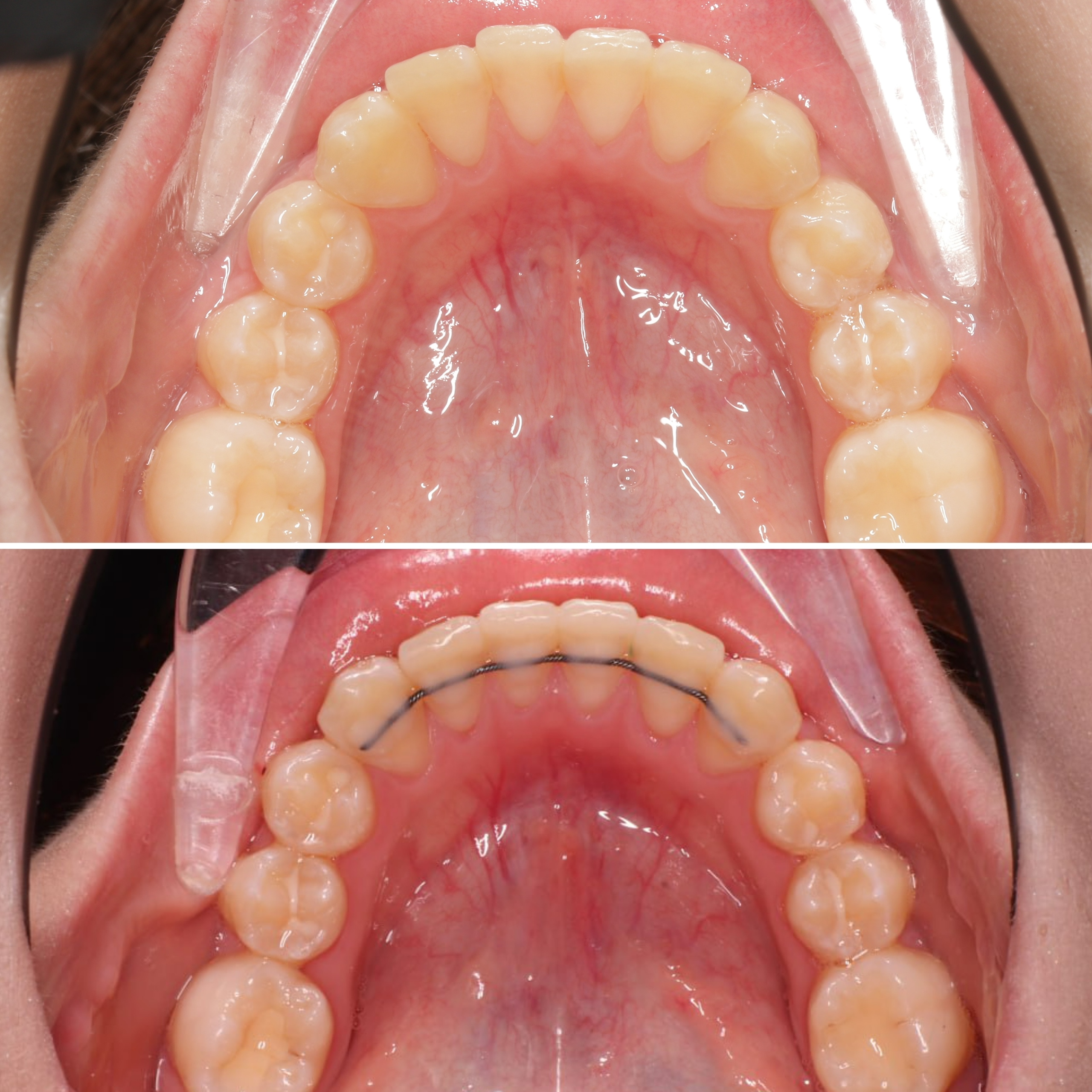
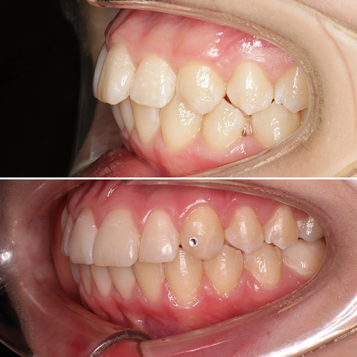
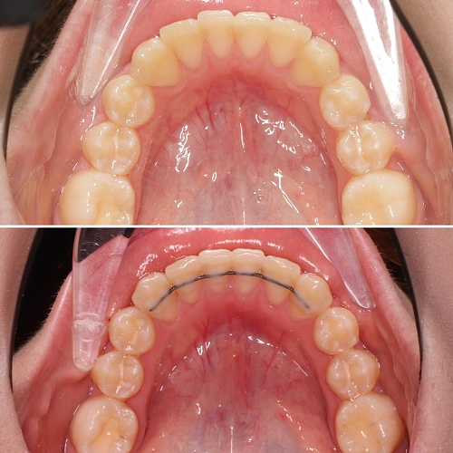
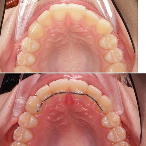
Одной из основных причин удаления зубов является скученность зубов.

Тесное положение зубов может быть вызвано несоответствием размеров зубов и размера челюсти. Зубы могут быть слишком большими, или челюсть маленькой. Одной из причин может быть неправильная смена молочных зубов на постоянные .

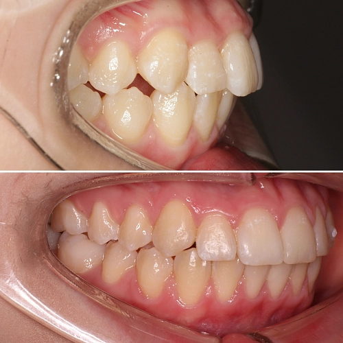
Существуют несколько вариантов ликвидации скученности ортодонтическим путем:

 расширение зубного ряда;

 сепарация (пришлифовывание контактных поверхностей зубов);

 Перемещение зубов с помощью минивинтов (это небольшие титановые винты, которые устанавливаются в костную ткань челюстей для создания опоры при перемещении зубов).

Но, если дефицит места в челюсти более 5 мм, то вариантов меньше - это либо удаление (экстракция) зуба, либо дистализация с помощью минивинтов

Выбор методики коррекции определяется на основании результатов комплексной диагностики, в ходе которой определяется состояние костной ткани и её объём, положение каждого зуба и его параметры.

Поэтому важно обращаться к специалисту, пока кости не сформировались полностью. Оптимальным является возраст 4-5 лет.

У детей высокую эффективность показало лечение с применением трейнеров для зубов, нёбных расширителей и специализированных активаторов. Детские кости ещё не сформировались до конца, они развиваются и легко поддаются коррекции.

Бахмисова Инна Николаевна
Бахмисова Инна Николаевна

Одобрено

·

Стоматолог - ортодонт

Записаться на прием
Просмотров: 1259
Другие услуги
Консультация и диагностика
От 1000 Консультация и диагностика фото
Имплантация
От 32 500 Имплантация фото
Виниры
От 33 500 Виниры фото
Коронки
От 33 500 Коронки фото
Установка брекетов
От 45 000 Установка брекетов фото
Установка элайнеров
От 185 000 Установка элайнеров фото
Лечение зубов
От 4 000 Лечение зубов фото
Профессиональная гигиена
От 1900 Профессиональная гигиена фото