Кровоточивость десен | Советы "Иннова Клиник"
Онлайн запись

Кровоточивость десен

Оглавление

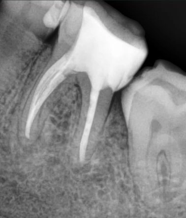
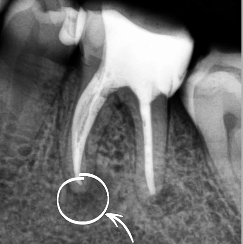
Пациент, обратился с жалобами на кровоточивость десен, неприятный запах изо рта. При осмотре был выявлен зуб, с негерметичной пломбой, провоцирующей застревание пищи и последующую кровоточивость десны. На рентгенологическом исследовании выявлен участок деструкции костной ткани. При снятии пломбы был неприятный запах из корневых каналов, что вызывало неприятный запах изо рта.

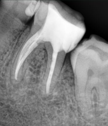
Проведено лечение зуба с использованием операционного микроскопа, лечение проходило в несколько этапов.

Через 6 месяцев после начала лечения наблюдалось значительное улучшение: уменьшение очага поражения и восстановление состояния десны. Рентгенологические исследования показали признаки регенерации костной ткани.

Этот случай демонстрирует то, что очень важно не игнорировать симптомы заболевания и своевременно обращаться к стоматологу.

В руках профессионала даже самые сложные случаи способны к заживлению и восстановлению.

Данилова Екатерина Михайловна
Данилова Екатерина Михайловна

Одобрено

·

Стоматолог-эндодонтист

Записаться на прием
Просмотров: 891
Другие услуги
Консультация и диагностика
От 1000 Консультация и диагностика фото
Имплантация
От 32 500 Имплантация фото
Виниры
От 33 500 Виниры фото
Коронки
От 33 500 Коронки фото
Установка брекетов
От 45 000 Установка брекетов фото
Установка элайнеров
От 185 000 Установка элайнеров фото
Лечение зубов
От 4 000 Лечение зубов фото
Профессиональная гигиена
От 1900 Профессиональная гигиена фото