Скученность зубов | Советы "Иннова Клиник"
Онлайн запись

Скученность зубов

Оглавление

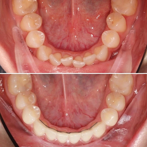
Лечение выраженной скученности без удаления зубов с применением элайнеров

Скученность зубов — это распространенная проблема, с которой сталкиваются многие люди. Она может вызывать не только эстетические неудобства, но и проблемы с жеванием и гигиеной полости рта.

Лечение скученности зубов с помощью элайнеров — это современный и эффективный способ достичь желаемой улыбки без необходимости удаления зубов.

Преимущества использования элайнеров:

1. Эстетика: Прозрачные капы не бросаются в глаза, что позволяет вам чувствовать себя уверенно на протяжении всего лечения.

2. Комфорт: Элайнеры не имеют острых металлических частей, что минимизирует дискомфорт и раздражение десен.

3. Гигиеничность: Их можно снимать во время еды и чистки зубов, что упрощает поддержание гигиены полости рта.

4. Индивидуальный подход: Каждая пара элайнеров изготавливается по индивидуальному плану лечения, что обеспечивает максимальную эффективность.

Как проходит лечение?

1. Консультация: На первом этапе врач-ортодонт проведет осмотр и составит план лечения.

2. 3D-моделирование: С помощью современных технологий создается 3D-модель вашей челюсти, на основе которой разрабатываются элайнеры.

3. Изготовление элайнеров: После утверждения плана лечения начинается производство элайнеров.

4. Регулярные проверки: Врач будет контролировать процесс перемещения зубов и при необходимости вносить корректировки.

Если у вас есть вопросы или вы хотите записаться на консультацию, пишите в комментариях или в личные сообщения!

Брачева Александра Игоревна
Брачева Александра Игоревна

Одобрено

·

Стоматолог - ортодонт

Записаться на прием
Просмотров: 1218
Другие услуги
Консультация и диагностика
От 1000 Консультация и диагностика фото
Имплантация
От 32 500 Имплантация фото
Виниры
От 33 500 Виниры фото
Коронки
От 33 500 Коронки фото
Установка брекетов
От 45 000 Установка брекетов фото
Установка элайнеров
От 185 000 Установка элайнеров фото
Лечение зубов
От 4 000 Лечение зубов фото
Профессиональная гигиена
От 1900 Профессиональная гигиена фото