Лечение глубокого кариеса | Советы "Иннова Клиник"
Онлайн запись

Лечение глубокого кариеса

Оглавление

Лечение глубокого кариеса

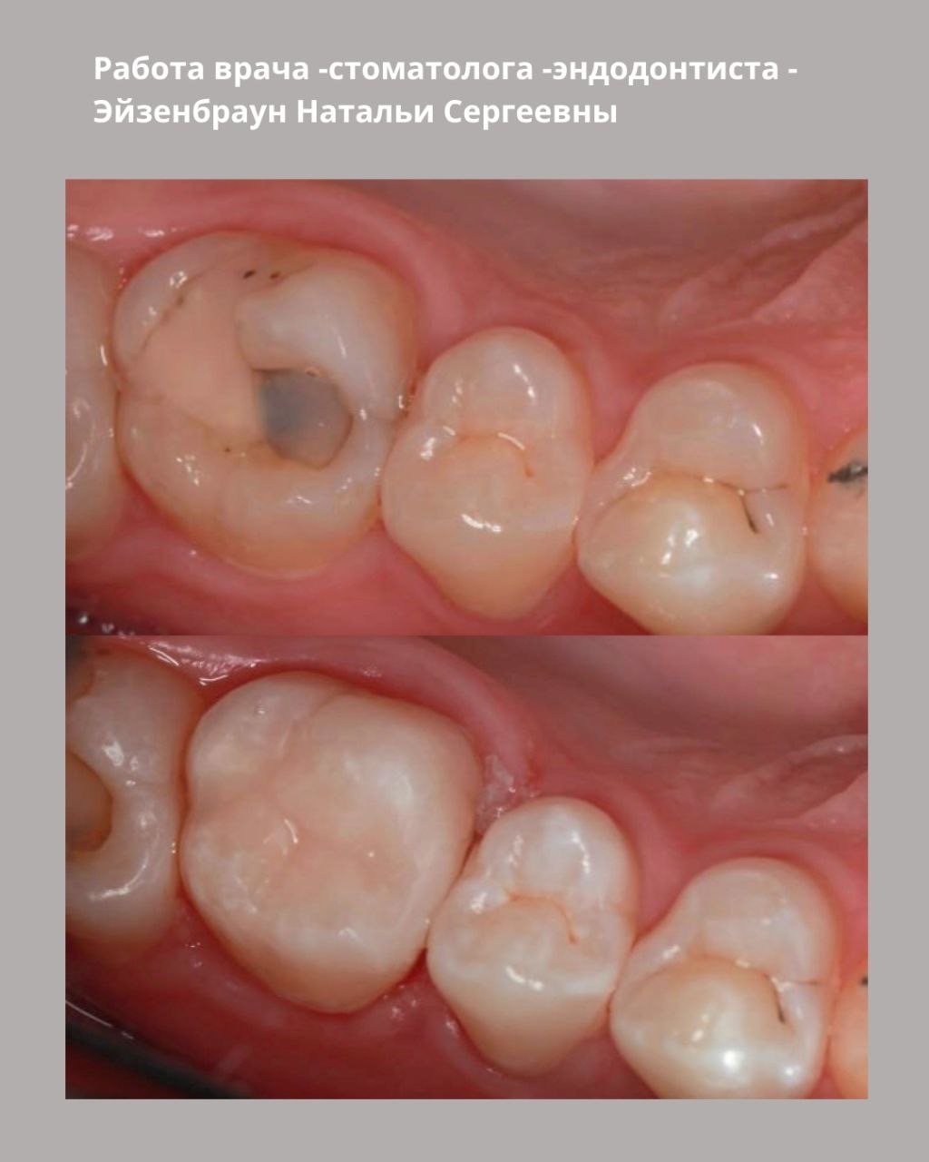
Глубокий кариес — это серьезная проблема, с которой сталкиваются многие пациенты. Ранее единственным решением было удаление нерва, но сегодня стоматология шагнула далеко вперед, и необходимость в этом возникает крайне редко!

На сегодняшний день существуют биологические методы, позволяющие сохранить жизнеспособность пульпы зуба. Основной задачей при лечении глубокого кариеса является качественная очистка кариозной полости от инфицирования. Это важный этап, который помогает предотвратить дальнейшее разрушение зуба и сохранить здоровье нервных тканей.

После очистки полости стоматолог устанавливает герметичный биоинертный материал. Эти современные материалы не только защищают пульпу от инфекций, но и способствуют восстановлению тканей, окружающих нерв. Они создают оптимальные условия для восстановления тканей зуба, что значительно увеличивает шансы на сохранение зуба без удаления нерва.

Преимущества современных методов:

• Сохранение жизнеспособности пульпы.

• Минимизация боли и дискомфорта.

• Долговременный результат и восстановление функций зуба.

Работа врача -стоматолога -эндодонтиста - Эйзенбраун Натальи Сергеевны
Эйзенбраун Наталья Сергеевна
Эйзенбраун Наталья Сергеевна

Одобрено

·

Стоматолог-эндодонтист

Записаться на прием
Просмотров: 2916
Другие услуги
Консультация и диагностика
От 1000 Консультация и диагностика фото
Имплантация
От 32 500 Имплантация фото
Виниры
От 33 500 Виниры фото
Коронки
От 33 500 Коронки фото
Установка брекетов
От 45 000 Установка брекетов фото
Установка элайнеров
От 185 000 Установка элайнеров фото
Лечение зубов
От 4 000 Лечение зубов фото
Профессиональная гигиена
От 1900 Профессиональная гигиена фото