Важный шаг перед установкой виниров | Советы "Иннова Клиник"
Онлайн запись

Важный шаг перед установкой виниров

Оглавление

Это важный шаг перед установкой виниров!

Комплексная диагностика, которая включает в себя :

1. Рентгенографию

Рентгеновские снимки — это основной метод диагностики, который позволяет стоматологу оценить состояние корней зубов, наличие кариеса, заболеваний десен и других скрытых проблем. Этот метод помогает выявить проблемы, которые не видны при обычном осмотре.

2. Компьютерную томографию (КТ)

КТ предоставляет более детальную информацию о состоянии зубов и челюстей. Этот метод позволяет получить трехмерное изображение, что особенно важно для оценки состояния зубов, височно-нижнечелюстного сустава, околоносовых пазух, состояния костной ткани и других зубочелюстных тканей. Компьютерная томография на сегодняшний день, является одним из основных методов диагностики заболеваний зубочелюстной системы, необходимым звеном в планировании лечения.

3. Магнитно-резонансная томография (МРТ)

МРТ используется в стоматологии для оценки состояния височно-нижнечелюстного сустава и мягких тканей челюстно-лицевой зоны. Этот метод помогает диагностировать воспалительные процессы или другие заболевания, которые важно учитывать при планировании протезирования, в том числе при установке виниров.

4. Аксиография.

Аксиография— это метод функциональной диагностики, который позволяет графически зафиксировать траекторию движения головок нижней челюсти в области височно-нижнечелюстного сустава (ВНЧС). Для процедуры используют специальный прибор — аксиограф. Он может быть полезен для оценки окклюзии (прикуса) и определения правильного расположения зубов относительно друг друга. Это особенно важно для создания виниров, которые должны быть не только красивы, но и функциональны.

5. Клинический осмотр

Важным этапом диагностики является тщательный клинический осмотр стоматологом. Специалист проверяет состояние зубов, десен и слизистой оболочки рта, а также проводит тесты на чувствительность и другие необходимые процедуры.

Почему важна комплексная диагностика?

Комплексная диагностика позволяет:

• Выявить скрытые проблемы, которые могут повлиять на результат установки виниров.

• Разработать индивидуальный план лечения с учетом особенностей пациента.

• Обеспечить долговечность и эстетичность результата.

• Избежать осложнений и неприятных последствий после установки.

Какие именно этапы диагностики необходимы вам, определяет врач на консультации.

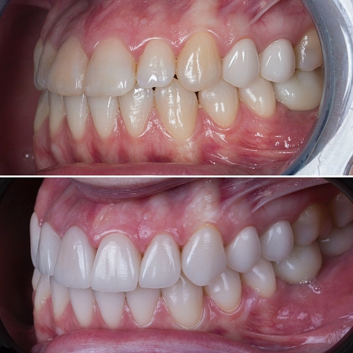
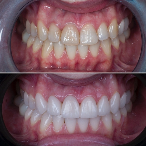
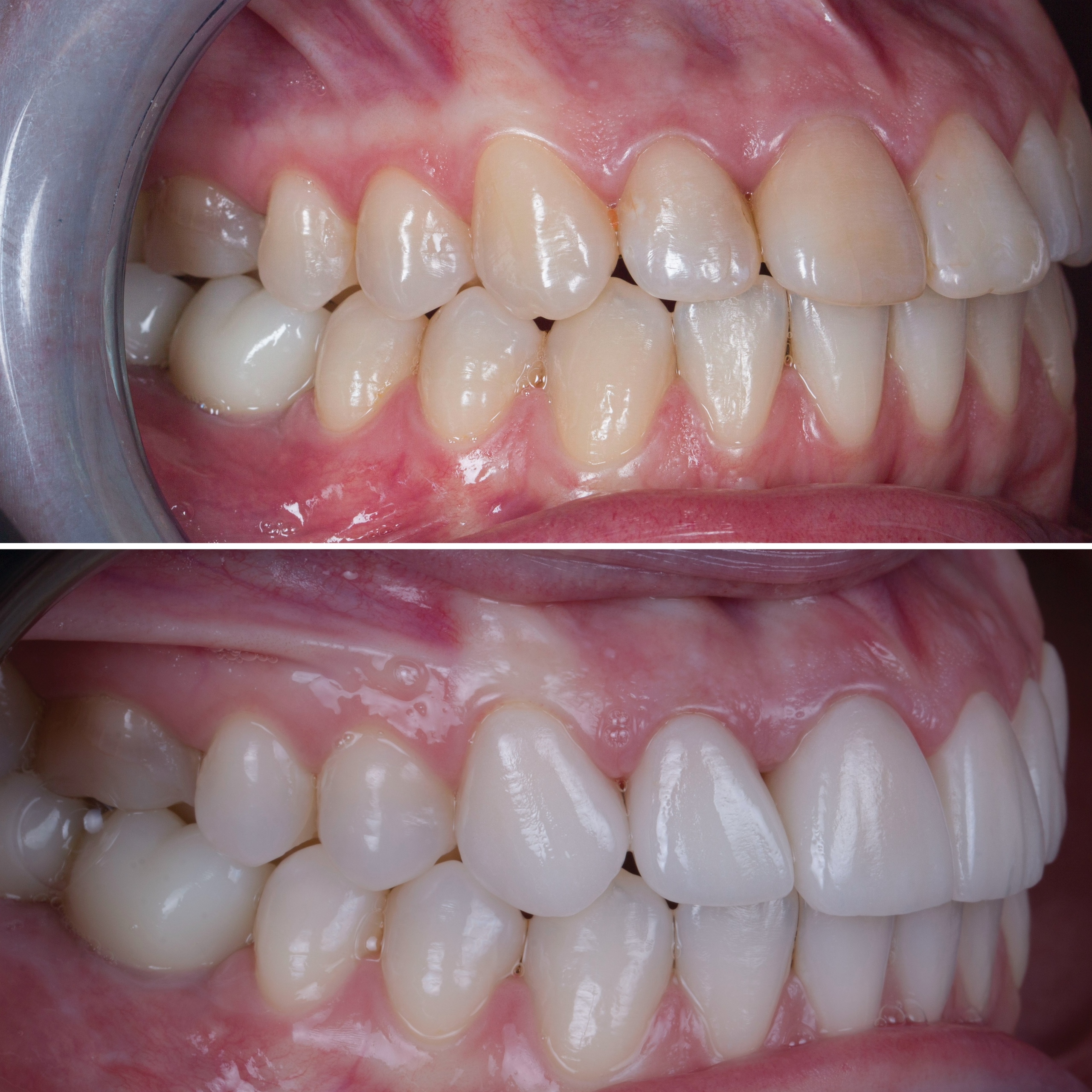
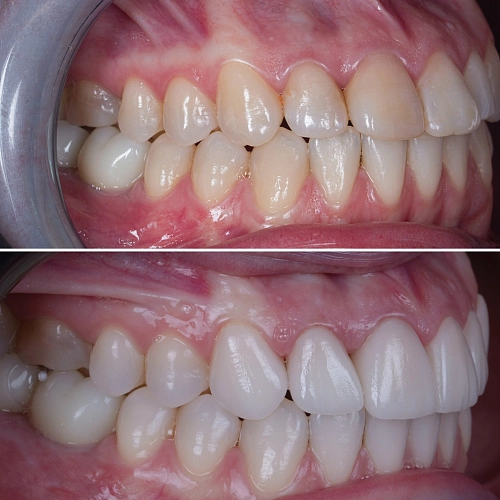
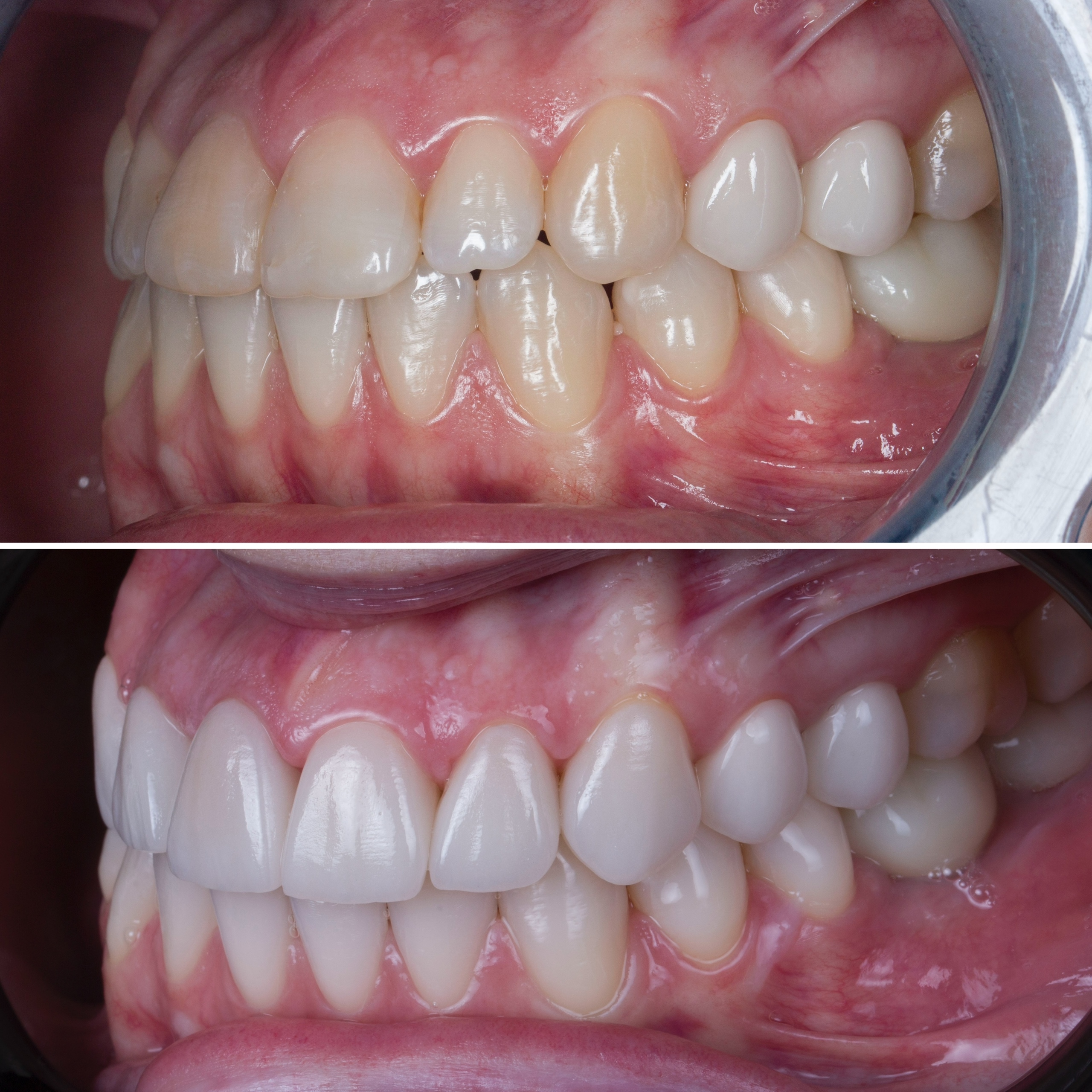
На представленном фото запечатлен результат эстетической и функциональной реабилитации пациентки. В ходе лечения было проведено отбеливание зубов, за которым последовала установка шести керамических виниров. Виниры выполнены в цвете B1, что придает улыбке естественность и гармонию.

Сергеева Анастасия Сергеевна
Сергеева Анастасия Сергеевна

Одобрено

·

Стоматолог-ортопед

Записаться на прием
Просмотров: 2034
Другие услуги
Консультация и диагностика
От 1000 Консультация и диагностика фото
Имплантация
От 32 500 Имплантация фото
Виниры
От 33 500 Виниры фото
Коронки
От 33 500 Коронки фото
Установка брекетов
От 45 000 Установка брекетов фото
Установка элайнеров
От 185 000 Установка элайнеров фото
Лечение зубов
От 4 000 Лечение зубов фото
Профессиональная гигиена
От 1900 Профессиональная гигиена фото