Установка виниров | Советы "Иннова Клиник"
Онлайн запись

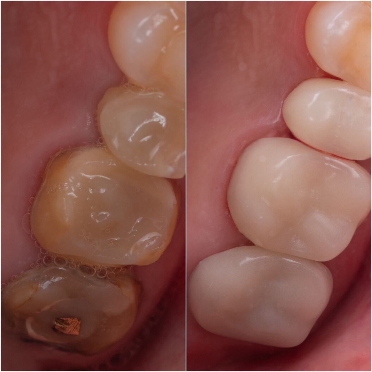
Установка виниров

Установка виниров — это не просто косметическая процедура, а искусство, которое требует высокой квалификации и опыта. Важно понимать, что виниры устанавливаются только по показаниям, и каждый случай индивидуален.

Врач должен учитывать множество факторов: форму и цвет зубов, анатомию полости рта и лица пациента, а также его личные предпочтения. Поэтому детальная консультация — это первый и один из самых важных шагов. На этом этапе специалист обсуждает ожидания пациента и предлагает рекомендации по дизайну виниров.

После консультации начинается тщательная подготовка зубов. Врач удаляет тонкий слой эмали, чтобы создать пространство для виниров. Это важный процесс, который требует аккуратности и профессионализма.

Создание прозрачности и микрорельефа на поверхности виниров — один из ключевых аспектов работы. Эти детали придают зубам естественный вид, делая их более похожими на настоящие.

Одним из главных преимуществ виниров является их способность трансформировать улыбку, придавая зубам привлекательный и естественный вид.

Куликов Михаил Алексеевич
Куликов Михаил Алексеевич

Одобрено

·

Стоматолог-ортопед

Записаться на прием
Просмотров: 273
Другие услуги
Консультация и диагностика
От 1000 Консультация и диагностика фото
Имплантация
От 32 500 Имплантация фото
Виниры
От 33 500 Виниры фото
Коронки
От 33 500 Коронки фото
Установка брекетов
От 45 000 Установка брекетов фото
Установка элайнеров
От 185 000 Установка элайнеров фото
Лечение зубов
От 4 000 Лечение зубов фото
Профессиональная гигиена
От 1900 Профессиональная гигиена фото