Потемневшие зубы, сколы или неровный край можно аккуратно и естественно исправить | Советы "Иннова Клиник"
Онлайн запись

Потемневшие зубы, сколы или неровный край можно аккуратно и естественно исправить

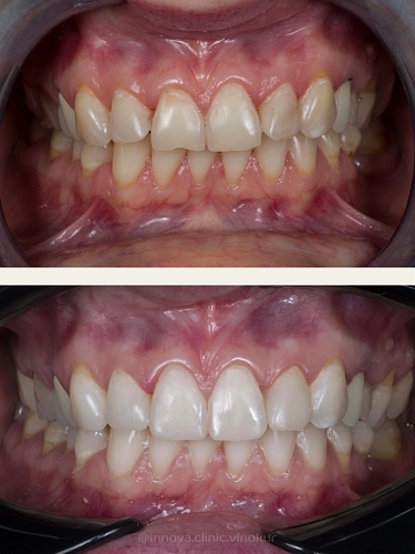
Если у вас потемневшие зубы, сколы или неровный край — это можно аккуратно и естественно

исправить

Посмотрите, как мы решили эту задачу в данном случае

Разница заметна сразу: улыбка стала светлее, ровнее и более ухоженной.

Сначала провели отбеливание — осветлили эмаль и выровняли оттенок.

Затем выполнили композитную реставрацию — восстановили режущий край и скорректировали форму зубов.

В результате — гармоничная, естественная улыбка без эффекта «искусственности»

Если вы давно думаете о коррекции улыбки — сейчас самое время начать

Записаться на консультацию: +7 8352 70 97 91

• Чебоксары, ул. Радужная, 5

• Чебоксары, ул. Богдана Хмельницкого, 51

Романова Анастасия Александровна
Романова Анастасия Александровна

Одобрено

·

стоматолог - терапевт

Записаться на прием
Просмотров: 642
Другие услуги
Консультация и диагностика
От 1000 Консультация и диагностика фото
Имплантация
От 32 500 Имплантация фото
Виниры
От 33 500 Виниры фото
Коронки
От 33 500 Коронки фото
Установка брекетов
От 45 000 Установка брекетов фото
Установка элайнеров
От 185 000 Установка элайнеров фото
Лечение зубов
От 4 000 Лечение зубов фото
Профессиональная гигиена
От 1900 Профессиональная гигиена фото