Статья #283 | Советы "Иннова Клиник"
Онлайн запись

Статья #283

Стискивание или скрежетание зубов это норма?

Сильное стискивание зубов зачастую является естественной реакцией организма на переутомление или стрессовую ситуацию.

Постоянный и бесконтрольный скрежет зубами приводит к воспалению и деформации височно-нижнечелюсьного сустава, а также к значительному стиранию зубов, что, в свою очередь, провоцирует повышение чувствительности зубов , снижение высоты прикуса и перегрузку жевательных мышц.

Бруксизм бывает дневным и ночным, но, чаще всего, люди сжимают зубы именно в ночное время.

На утро такие пациенты жалуются на «скованность челюстей» просыпаются с плохим самочувствием и частым возникновением головной боли в височной области (перегруженная височная мышца является одной из жевательных мышц).

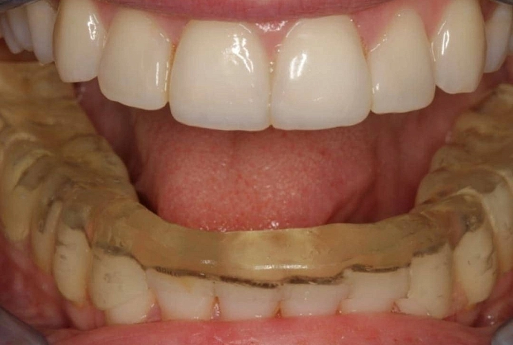
Лечить подобное заболевание довольно сложно, но снизить его негативное влияние на организм вполне возможно – с помощью окклюзионных капп.

Каппа от бруксизма – это специальная пластина, которая надевается на одну челюсть.

Ее главная функция заключается в равномерном и ГРАМОТНОМ распределении нагрузки на всю группу зубов предотвращая компрессию сустава и повышенную стираемость.

Такая каппа должна быть изготовлена из прочного материала,️️️не должна быть мягкой и токсичной. Мы изготавливаем каппу из смолы.

Поверхность каппы это новая, абсолютно иная форма зубов, которая как раз и обеспечивает безопасное ночное смыкание.

В результате ее использования челюсть расслабляется, исчезают дисбалансы мышц, улучшается их координация, сон становится крепче, проходят головные боли, которые являются частым симптомом повышенного сжатия.

Срок использования одной каппы зависит от сложности проблем с ВНЧ-суставом, степени бруксизма и качества конструкции.

Записаться на консультацию можно по телефону +7(8352) 75-54-75 либо напишите нам vk.me/innovaclinic

#чебоксары #чувашия #чебы_чувашия #мамычебоксары #чебоксарыновости #новочебоксарск

Просмотров: 255
Другие услуги
Консультация и диагностика
От 1000 Консультация и диагностика фото
Имплантация
От 32 500 Имплантация фото
Виниры
От 33 500 Виниры фото
Коронки
От 33 500 Коронки фото
Установка брекетов
От 45 000 Установка брекетов фото
Установка элайнеров
От 185 000 Установка элайнеров фото
Лечение зубов
От 4 000 Лечение зубов фото
Профессиональная гигиена
От 1900 Профессиональная гигиена фото