Статья #3
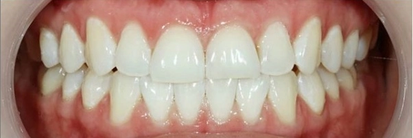
Продолжаем делать мир ярче! У прекрасной пациенки, казалось бы, итак от природы светлые зубы. Результат оказался потрясающим!
#zoom4 #zoomчебоксары #отбеливаниезубовчебоксары #отбеливаниеzoom4
Диагностика
Ортопедическая стоматология
Ортодонтия
Эстетическая стоматология
Детская стоматология
Профилактическая стоматология
Терапевтическая стоматология
Хирургическая стоматология
Имплантация
Компьютерная томография зубов
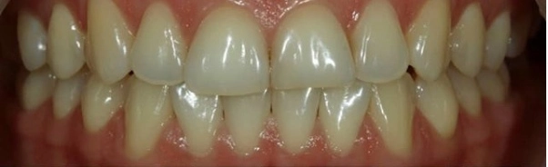
Продолжаем делать мир ярче! У прекрасной пациенки, казалось бы, итак от природы светлые зубы. Результат оказался потрясающим!
#zoom4 #zoomчебоксары #отбеливаниезубовчебоксары #отбеливаниеzoom4
Заполните форму и мы свяжемся с вами
в ближайшее время
Заполните форму и мы свяжемся с вами
в ближайшее врем
Заполните форму и мы свяжемся с вами
в ближайшее время
Заполните форму и мы свяжемся с вами
в ближайшее время
Ваша заявка успешно отправлена
Наши специалисты свяжутся с Вами в ближайшее время
Что-то пошло не так, попробуйте отправить заявку чуть позже
Мы используем cookie. Используя сайт, вы соглашаетесь с обработкой данных с целью сбора аналитики. Cookie можно отключить в любой момент в настройках вашего браузера