Статья #300 | Советы "Иннова Клиник"
Онлайн запись

Статья #300

Профессиональная гигиена полости рта под микроскопом проводится вторым этапом.

Сначала доктор снимает наддесневые отложения без помощи микроскопа, назначает лечение , и только через 7 дней после обычной профессиональной гигиены уже проводится гигиена под микроскопом.

Детально под увеличением осматривается каждый зуб на наличие налёта и зубных камней.

Использование микроскопа помогает врачу провести процедуру максимально точно , используя специальные инструменты в труднодоступных местах.

Данная гигиена проводится пациентам с глубокими поддесневыми и воспалительным процессом, скученностью зубов.

Пациентам, которые регулярно делают профессиональную гигиену данная процедура может и не понадобится.

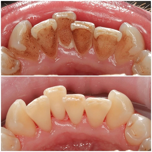
На фото пациенту проведена профессиональная гигиена полости рта под микроскопом.

#чистказубовчебоксары #протезированиечебоксары #йогачебоксары #стилистчебоксары #косметологчебоксары

Скученность зубов и поддесневые отложения у пациента и являлись рекомендацией для профессиональной гигиены полости рта под микроскопом.

Записаться на консультацию можно по телефону +7(8352) 75-54-75 либо напишите нам vk.me/lecardoclinic

Просмотров: 260
Другие услуги
Консультация и диагностика
От 1000 Консультация и диагностика фото
Имплантация
От 32 500 Имплантация фото
Виниры
От 33 500 Виниры фото
Коронки
От 33 500 Коронки фото
Установка брекетов
От 45 000 Установка брекетов фото
Установка элайнеров
От 185 000 Установка элайнеров фото
Лечение зубов
От 4 000 Лечение зубов фото
Профессиональная гигиена
От 1900 Профессиональная гигиена фото