Статья #318 | Советы "Иннова Клиник"
Онлайн запись

Статья #318

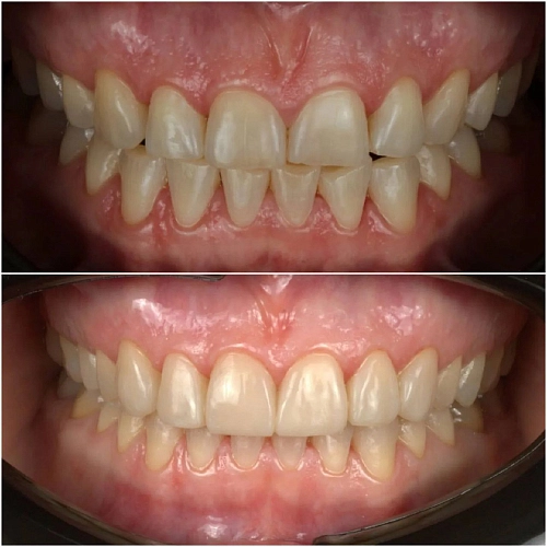
Ровные зубы служат дольше

Устали лечить кариозные поражения и гиперчувствительность зубов

Возможно, дело не только в гигиене и питании.

При неправильном прикусе:

Повышается стираемость зубов.

Уже к 20 годам вы можете существенно потерять в высоте зубов и заработать гиперчувствительность эмали.

Повреждается костная ткань.

Постоянное неправильное распределение давления на зубы провоцирует разнообразные повреждения костной ткани. Всё это усложняет протезирование и лечение.

Регулярно воспаляется пародонт.

При отсутствии лечения пародонтита и переходе заболевания на поздние стадии начинается процесс расшатывания зубов, что ведёт к протезированию и ранним реставрациям.

При участившихся заболеваниях полости рта проконсультируйтесь с ортодонтом

Записаться на консультацию можно по телефону +7(8352) 75-54-75 либо напишите нам vk.me/innovaclinic

#зубычебоксары #чебоксарычуваши #канаш #йошкарола #чебоксарыновости

Просмотров: 220
Другие услуги
Консультация и диагностика
От 1000 Консультация и диагностика фото
Имплантация
От 32 500 Имплантация фото
Виниры
От 33 500 Виниры фото
Коронки
От 33 500 Коронки фото
Установка брекетов
От 45 000 Установка брекетов фото
Установка элайнеров
От 185 000 Установка элайнеров фото
Лечение зубов
От 4 000 Лечение зубов фото
Профессиональная гигиена
От 1900 Профессиональная гигиена фото