Статья #356 | Советы "Иннова Клиник"
Онлайн запись

Статья #356

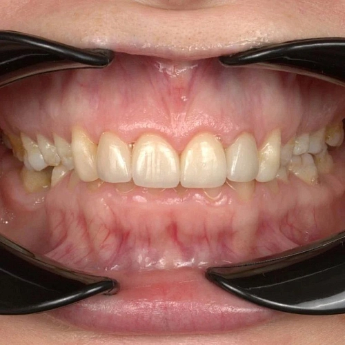
Иногда достаточно всего несколько виниров, чтобы улыбка заиграла новыми красками и просто заворожила всех своей идеальностью!

Пролистайте , оцените какая ювелирная работа была проделана.

После преображения женской улыбки ее обладательница во многом меняется и сама. Исчезают комплексы, появляется желание много улыбаться абсолютно без стеснения.⁣

На фото прекрасный результат новой улыбки, созданной с помощью 4 керамических реставраций.⁣

Как вам результат?

#стоматологчебоксары #винирычебоксары #стоматологиячебоксары #отбеливаниезубовчебоксары

Просмотров: 225
Другие услуги
Консультация и диагностика
От 1000 Консультация и диагностика фото
Имплантация
От 32 500 Имплантация фото
Виниры
От 33 500 Виниры фото
Коронки
От 33 500 Коронки фото
Установка брекетов
От 45 000 Установка брекетов фото
Установка элайнеров
От 185 000 Установка элайнеров фото
Лечение зубов
От 4 000 Лечение зубов фото
Профессиональная гигиена
От 1900 Профессиональная гигиена фото