Статья #397 | Советы "Иннова Клиник"
Онлайн запись

Статья #397

Мой зуб поменял цвет, что делать?»

Изменение цвета одного зуба или нескольких зубов в стоматологии называется дисколоритом.

Дисколорит зубов делится на 2 вида:

-внешний

-внутренний

Причинами внешнего являются:

продукты питания (кофе, свёкла красное вино, томатный сок, крепкий чай, газировка, некоторые ягоды...)

вода, которую мы пьем (зависит от содержания в ней минералов и солей)

внешнее воздействие ( курение)

недостаточная гигиена полости рта.

Причинами внутреннего дисколорита могут быть:

травмы зубов

генетическая предрасположенность

прием медикаментов беременными (особенно антибиотиков тетрациклинового ряда)

повреждение зубных нервов

после эндодонтического лечения

естественные возрастные изменения цвета

получение большого количества фторидов в детском возрасте

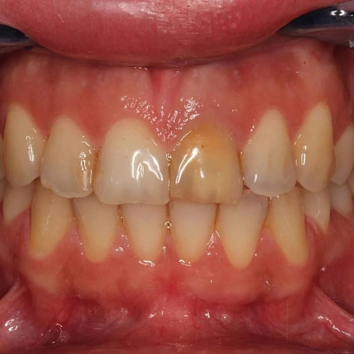
Часто при внутреннем дисколорите отбелить эмаль не удается, так что лучшим решением будет установка виниров.

На фото у пациента дисколорит возник вследствии лечения каналов окрашивающей пастой.

Проведено отбеливание зубов и установка виниров.

А вы сталкивались с таким явлением?

#чебоксары #чувашия #йошкарола #канаш #чебоксарыновости #новочебоксарск #афишачебоксары #чебоксарымамы #стоматологчебоксары

Просмотров: 289
Другие услуги
Консультация и диагностика
От 1000 Консультация и диагностика фото
Имплантация
От 32 500 Имплантация фото
Виниры
От 33 500 Виниры фото
Коронки
От 33 500 Коронки фото
Установка брекетов
От 45 000 Установка брекетов фото
Установка элайнеров
От 185 000 Установка элайнеров фото
Лечение зубов
От 4 000 Лечение зубов фото
Профессиональная гигиена
От 1900 Профессиональная гигиена фото