Статья #468 | Советы "Иннова Клиник"
Онлайн запись

Статья #468

Клинический случай

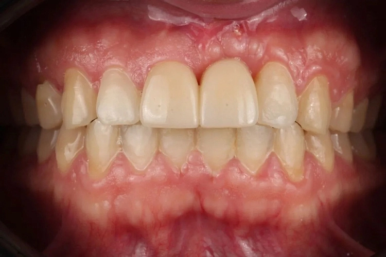
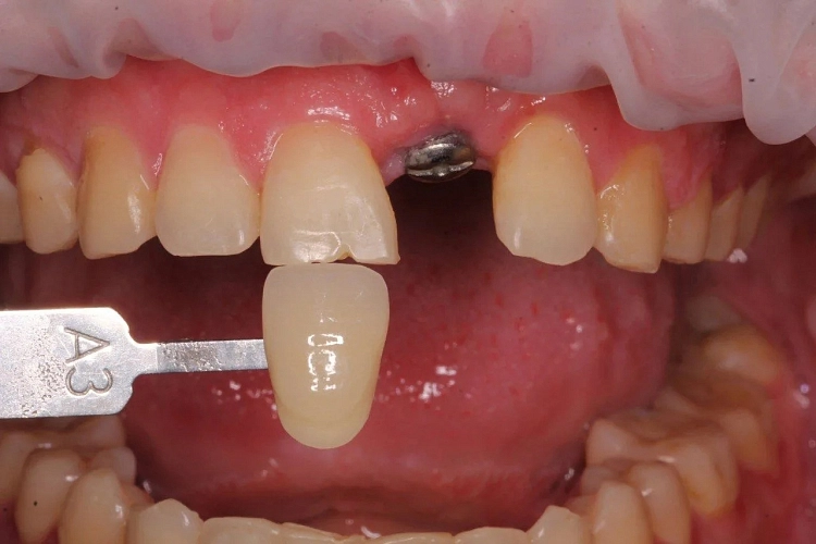
Установка двух керамических коронок на два центральных резца в результате того, что один зуб не подлежал лечению и показания были к % удалению

Пациенту  была проведена имплантация с последующим протезированием.

Для того, чтобы центральный зуб не контрастировал на фоне соседнего, на соседний зуб было рекоменовано установка винира.

Максимально естественная интеграция керамических коронок под оптику своих зубов.

Работа: Стоматолога - хирурга Федотова Руслана Валерьевича и

стоматолога - ортопеда Никитина Никиты Юрьевича

Как вам результат?

Записаться на консультацию можно по телефону

#протезированиечебоксары #протезированиейошкарола #протезированиеканаш #коронкачебоксары #винирычебоксары #люминирычебоксары #брекетычебоксары #имплантациязубовчебоксары

+7(8352)70-97-91 либо напишите нам

Просмотров: 209
Другие услуги
Консультация и диагностика
От 1000 Консультация и диагностика фото
Имплантация
От 32 500 Имплантация фото
Виниры
От 33 500 Виниры фото
Коронки
От 33 500 Коронки фото
Установка брекетов
От 45 000 Установка брекетов фото
Установка элайнеров
От 185 000 Установка элайнеров фото
Лечение зубов
От 4 000 Лечение зубов фото
Профессиональная гигиена
От 1900 Профессиональная гигиена фото