Статья #478 | Советы "Иннова Клиник"
Онлайн запись

Статья #478

Скол зуба, увы, довольно распространенная проблема.

Причинами появления скола являются не только травмы .

Ослабление твёрдых тканей и неправильное распределение жевательной нагрузки также могут привести к сколу.

Так что же делать, если вы столкнулись с такой проблемой Конечно незамедлительно обратиться к врачу!

Лечение зависит от объёма повреждения:

При поверхностных сколах применяются препараты, снижающие чувствительность, реминирализация, фторирование, шлифовка скола.

При большой площади разрушения, зубные ткани подлежат восстановлению с помощью композитной реставрации, вкладок, виниров и других способов восстановления.

При глубоких сколах может потребоваться депульпация зуба с дальнейшим восстановлением коронковой части керамической реставрацией.

Не стоит игнорировать скол зуба. Он может стать причиной инфицирования и развития воспаления!

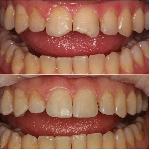
На фото очередной клинический случай.

Пациенту проведена композитная реставрация 2 зубов

Работа стоматолога - терапевта Романовой Анастасии Александровны.

Записаться на консультацию можно по телефону +7(8352) 70-97-91 либо напишите нам

#винирычебоксары #люминирычебоксары #имплантациязубовчебоксары #новостичебоксары #мамычебоксары #клиникачебоксары #анализычебоксары #стоматологчебоксары

Просмотров: 219
Другие услуги
Консультация и диагностика
От 1000 Консультация и диагностика фото
Имплантация
От 32 500 Имплантация фото
Виниры
От 33 500 Виниры фото
Коронки
От 33 500 Коронки фото
Установка брекетов
От 45 000 Установка брекетов фото
Установка элайнеров
От 185 000 Установка элайнеров фото
Лечение зубов
От 4 000 Лечение зубов фото
Профессиональная гигиена
От 1900 Профессиональная гигиена фото