Статья #489 | Советы "Иннова Клиник"
Онлайн запись

Статья #489

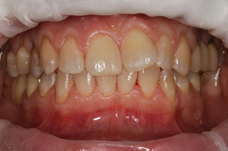
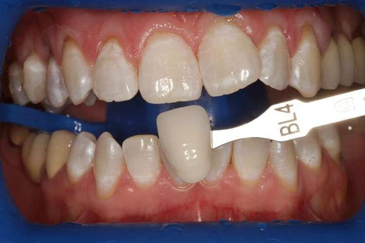
Отбеливание зубов системой Philips ZOOM White Speed - это самая безопасная и современная система отбеливания, существующая на данный момент.

В зависимости от исходного цвета эмали позволяет отбелить зубы до 10 тонов.

Кому подойдёт:

- тем, кто хочет изменить цвет собственных зубов

- тем, кто хочет выполнить реставрацию и изменить цвет эмали только одной челюсти

- тем, кто хочет установить виниры светлее собственного цвета эмали только на одной челюсти

Важно перед отбеливанием сделать профессиональную гигиену зубов, чтобы удалить камни и налёт, а также подготовить эмаль к отбеливанию.

Записаться на консультацию можно по телефону +7(8352)70-97-91 либо напишите нам

#отбеливаниезубовчебоксары #увеличениегубчебоксары #контурнаяпластикачебоксары #zoom4 #чистказубовчебоксары #заливчебоксары #счастьенаволге

Просмотров: 230
Другие услуги
Консультация и диагностика
От 1000 Консультация и диагностика фото
Имплантация
От 32 500 Имплантация фото
Виниры
От 33 500 Виниры фото
Коронки
От 33 500 Коронки фото
Установка брекетов
От 45 000 Установка брекетов фото
Установка элайнеров
От 185 000 Установка элайнеров фото
Лечение зубов
От 4 000 Лечение зубов фото
Профессиональная гигиена
От 1900 Профессиональная гигиена фото